Pytanie 1
Jaką klasę według Blacka przypisuje się ubytkom występującym na powierzchni żującej trzonowców oraz przedtrzonowców?
Wynik: 36/40 punktów (90,0%)
Wymagane minimum: 20 punktów (50%)
Jaką klasę według Blacka przypisuje się ubytkom występującym na powierzchni żującej trzonowców oraz przedtrzonowców?
Podczas uzupełniania elektronicznego diagramu pacjenta, asystentka powinna oznaczyć powierzchnię językową
Aparat ortodontyczny retencyjny ma na celu
Która technika polega na aplikacji 2% fluorku sodu na zęby czterokrotnie w odstępach tygodniowych?
Co jest przyczyną występowania wrodzonych nieprawidłowości w zgryzie?
Odpowiednia przestrzeń między materiałem do sterylizacji a zgrzewem, która zapewnia prawidłowe zniknięcie torebki papierowo-foliowej, powinna wynosić
To pytanie jest dostępne tylko dla uczniów i nauczycieli. Zaloguj się lub utwórz konto aby zobaczyć pełną treść pytania.
Odpowiedzi dostępne po zalogowaniu.
Wyjaśnienie dostępne po zalogowaniu.
Cement należy do materiałów stosowanych jako podkłady
Resztki amalgamatu stomatologicznego powinny być umieszczone w pojemniku w kolorze
Którego z narzędzi nie powinno się używać w trakcie wykonywania zabiegu resekcji?
Z dokumentacji medycznej pacjenta wynika, że w trakcie wizyty lekarz wprowadzi do ubytku dewitalizacyjną wkładkę endodontyczną. Co powinno być przygotowane do tego zabiegu?
W trakcie przeprowadzania leczenia endodontycznego dentysta prosi o przygotowanie narzędzi w kolejności: 25, 30, 35. Zgodnie z normami ISO asystentka stomatologiczna powinna zorganizować narzędzia w kolorach:
Do określenia wysokości zwarcia centralnego używa się noża do wosku, palnika oraz
Do przygotowania uszczelniającej pasty endodontycznej Endomethasone N z eugenolem należy stosować jedynie
To pytanie jest dostępne tylko dla uczniów i nauczycieli. Zaloguj się lub utwórz konto aby zobaczyć pełną treść pytania.
Odpowiedzi dostępne po zalogowaniu.
Wyjaśnienie dostępne po zalogowaniu.
Test Bowie-Dicka należy przeprowadzać
Jaką klasę według Blacka przypisuje się ubytkowi usytuowanemu na powierzchni stycznej siekaczy i kłów, bez uszkodzenia brzegu siecznego zęba?
Do której klasy dźwigni odnosi się poniższy opis?
"uchwyt w formie gruszki, dziób z trójkątnym ostrzem, zgięty pod kątem prostym względem uchwytu"
Jakie genetyczne konsekwencje wywołuje promieniowanie rentgenowskie?
Aby uzyskać odciski anatomiczne do tworzenia modeli ortodontycznych, asystentka powinna przygotować masę
Aby przeprowadzić ekstrakcję górnego prawego kła z zachowaniem korony, należy użyć kleszczy Tomesa-Bertena
Jakie zabiegi higieniczne są zalecane pacjentom po terapii chorób przyzębia w celu zapewnienia odpowiedniej higieny?
Jakie czynniki mogą doprowadzić do zwichnięcia zęba?
Jaką zasadę pięciu zmian reprezentuje ustawienie głowy pacjenta z jej odchyleniem w prawo lub w lewo?
Wskaź, która metoda kontroli procesu sterylizacji jest najbardziej wiarygodna, wskazując na eliminację mikroorganizmów?
W trakcie leczenia ubytku przyszyjkowego u pacjenta doszło do uszkodzenia brodawki dziąsłowej, co spowodowało delikatne krwawienie. Preparat, który jest stosowany do tamowania krwawienia miejscowego w takich sytuacjach, to
Jakie są cechy makrognacji?
Aby przeprowadzić ekstrakcję zęba oznaczonego -7, należy skompletować zestaw do znieczulenia przewodowego, który składa się
Zjawisko prowadzące do pojawiania się ubytków niepróchnicowych, które są efektem działania kwasów na szkliwo zębów, to
W trakcie przeprowadzania procedury wszczepiania implantu w technice z sześcioma rękami strefa aktywności drugiego asystenta mieści się pomiędzy godzinami
Aby uzyskać chemoutwardzalny materiał kompozytowy, należy zastosować
Zużyte wypełnienia amalgamatowe (odpady amalgamatowe) powinny być przechowywane w naczyniu szczelnie zamkniętym
W trakcie wizyty pacjenta lekarz będzie sporządzał rejestr zwarcia. Jakie materiały należy przygotować do tego zabiegu?
Do parafunkcji, które mogą prowadzić do nabytych wad zgryzu, zalicza się
Jaką ilość preparatu trzeba przygotować, aby uzyskać 2 litry roztworu o stężeniu 0,5% w metodzie dezynfekcji przez zanurzenie?
Aby zneutralizować warstwę mazistą zębiny w trakcie przygotowywania ubytku do założenia wypełnienia kompozytowego, lekarz powinien zastosować
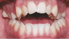
Którą wadę zgryzu przedstawia ilustracja?

To pytanie jest dostępne tylko dla uczniów i nauczycieli. Zaloguj się lub utwórz konto aby zobaczyć pełną treść pytania.
Odpowiedzi dostępne po zalogowaniu.
Wyjaśnienie dostępne po zalogowaniu.
To pytanie jest dostępne tylko dla uczniów i nauczycieli. Zaloguj się lub utwórz konto aby zobaczyć pełną treść pytania.
Odpowiedzi dostępne po zalogowaniu.
Wyjaśnienie dostępne po zalogowaniu.
Aparat ultradźwiękowy, piaskarka, kątnica Profin, kirety oraz ręczne skalery stanowią kluczowe elementy wyposażenia gabinetu