Filtrowanie pytań
MED.11 Pytanie 201
Wykonywanie i dobieranie prze…
A. nakładaniu okrężnymi obwojami opaski gipsowej na część ciała
B. zmoczeniu fragmentu ciała w formierzu wypełnionym papką gipsową
C. zanurzeniu kopiowanej części ciała bezpośrednio w papce gipsowej
D. układaniu warstw z kilku płatów gazowych nasiąkniętych papką gipsową
MED.11 Pytanie 202
Wykonywanie i dobieranie prze…
Do czego potrzebna jest pompa próżniowa?
A. aparatu szynowo-opaskowego
B. prostotrzymacza Taylora
C. gorsetu Jewetta
D. protezy tymczasowej podudzia
Wykonywanie i dobieranie prze…
Który typ gorsetu stosowanego w korygowaniu skoliozy dwułukowej przedstawiono na rysunku?

A. Cheneau.
B. Milwaukee.
C. Jewetta.
D. Boston.
MED.11 Pytanie 204
Wykonywanie i dobieranie prze…
Aby skonstruować ortezę AFO, potrzebny jest arkusz polipropylenu o wymiarach 300 mm x 250 mm. Ile egzemplarzy AFO można uzyskać z płyty o wymiarach 1 m x 2 m?
A. 12 szt.
B. 6 szt.
C. 18 szt.
D. 24 szt.
Wykonywanie i dobieranie prze…
Który typ uchwytu nadgarstkowego jest stosowany wyłącznie przy budowie protez po usunięciu stawu nadgarstkowego?
A. Nieruchomy
B. Cylindryczny
C. Rotacyjny
D. Zawiasowy
Wykonywanie i dobieranie prze…
Jaką funkcję pełni pelota metatarsalna?
A. palców II-V
B. sklepienia poprzecznego
C. sklepienia podłużnego
D. fundament piątej kości śródstopia
MED.11 Pytanie 207
Wykonywanie i dobieranie prze…
Aby zapobiec osłabieniu oraz pękaniu sprężyn w pasie przepuklinowym, powinno się go
A. zakładać od dołu, przez uda ku górze
B. domodelować do ciała
C. zakładać po wcześniejszym odprowadzeniu przepukliny
D. dobrać indywidualnie
MED.11 Pytanie 208
Wykonywanie i dobieranie prze…
Która z technik jest najbardziej precyzyjna w trakcie wykonywania negatywu gipsowego dla protezy podrzepkowej?
A. Skrzynkowa
B. Dwuskrzynkowa
C. Opaskowa
D. Płatowa
MED.11 Pytanie 209
Wykonywanie i dobieranie prze…
Co może osłabić skuteczny kontakt w trakcie negocjacji?
A. Utrzymywanie pozytywnej atmosfery
B. Unikanie słownej agresji
C. Skupienie się na rozmówcy
D. Brak nawiązywania kontaktu wzrokowego
MED.11 Pytanie 210
Wykonywanie i dobieranie prze…
Aby przygotować pozytyw gipsowy, tuż przed wylaniem formy gipsową masą, negatyw powinien zostać
A. uszczelniony, obrobiony i domodelowany
B. wzmocniony, zaimpregnowany i podpisany
C. uszczelniony, wzmocniony i impregnowany
D. obrobiony, domodelowany i podpisany
MED.11 Pytanie 211
Wykonywanie i dobieranie prze…
Jakie czynności należy wykonać po zakończeniu obróbki końcowej pozytywu gipsowego?
A. Wprowadzenie poprawek w miejscach przeznaczonych do odciążenia oraz natalkowania
B. Przygotowanie nadlewów gipsowych oraz nałożenie izolacji
C. Natalkowanie i pozostawienie do wyschnięcia
D. Przygotowanie nadlewów gipsowych oraz ich wysuszenie
Wykonywanie i dobieranie prze…
Jakie działanie ma obuwie ortopedyczne na stopę końsko-szpotawą?
A. pronację
B. przywiedzenie
C. supinację
D. odwiedzenie
Wykonywanie i dobieranie prze…
Gdzie powinna znajdować się pelota przednia dolna w gorsecie Jewetta?
A. Na spojeniu łonowym
B. Na grzebieniu biodrowym
C. Powyżej grzebienia biodrowego
D. Poniżej spojenia łonowego
MED.11 Pytanie 214
Wykonywanie i dobieranie prze…
Na podstawie danych zawartych w tabeli oblicz cenę brutto wyprodukowania protezy modularnej podudzia.
| Koszt elementów modularnych | Koszt materiałów | Czas pracy technika ortopedy | Koszt roboczogodziny | Marża | Stawka podatku VAT |
|---|---|---|---|---|---|
| 4 500.00 zł | 1 000.00 zł | 12 godzin | 30.00 zł | 25% | 8% |
A. 7 911,00 zł
B. 7 793,00 zł
C. 5 860,00 zł
D. 7 325,00 zł
Wykonywanie i dobieranie prze…
Dla której stopy wskazane jest obuwie ortopedyczne wyposażone w elementy konstrukcyjne zamieszczone w ramce?
|
A. Płasko-koślawej utrwalonej.
B. Piętowej utrwalonej.
C. Końsko-szpotawej utrwalonej.
D. Wydrążonej utrwalonej.
Wykonywanie i dobieranie prze…
Który typ ortezy opisano w ramce?
| Orteza obejmuje staw skokowy, stopę i podudzię. Stosowana jest w wielu schorzeniach neurologicznych i ortopedycznych (nadmierne zgięcie podeszwowe oraz chód na palcach będące skutkiem wzmożonego napięcia mięśniowego, pooperacyjna stabilizacja stopy i stawu skokowego, zapobieganie deformacjom u pacjentów siedzących i leżących). |
A. GRAFO
B. RGO
C. KAFO
D. AFO
MED.11 Pytanie 217
Wykonywanie i dobieranie prze…
Osoba korzystająca z kosmetycznej protezy ramienia może używać przegubów oraz końcówek, które są ustawiane i blokowane przy pomocy
A. linek kontrolnych
B. szeleczek ósemkowych
C. zdrowej ręki
D. zewnętrznego źródła zasilania
MED.11 Pytanie 218
Wykonywanie i dobieranie prze…
Czas użytkowania protezy kosmetycznej przysługującej pacjentowi po amputacji ramienia wynosi
A. 2 lata
B. 3 lata
C. 5 lat
D. 7 lat
MED.11 Pytanie 219
Wykonywanie i dobieranie prze…
Aby zrealizować stabilizator dla stawu skokowego, powinno się zastosować
A. wiskozy
B. filcu
C. neoprenu
D. lnu
MED.11 Pytanie 220
Wykonywanie i dobieranie prze…
Jakiego materiału pomocniczego używa się do produkcji obuwia ortopedycznego?
A. karton obuwniczy
B. polichlorek winylu PCW
C. klej montażowy
D. folia PVA w rękawie
Wykonywanie i dobieranie prze…
W obuwiu do korekcji stopy koślawej używany jest obcas
A. ortopedyczny
B. wysoki
C. płaski
D. z kołyską
Wykonywanie i dobieranie prze…
Technik ortopedyczny realizuje refundowane przez Narodowy Fundusz Zdrowia zaopatrzenie ortopedyczne w oparciu o
A. zlecenie na zaopatrzenie w wyroby medyczne
B. zlecenie lekarza na zaopatrzenie ortopedyczne
C. wniosek o przydział wyrobów medycznych
D. skierowanie od lekarza na zaopatrzenie ortopedyczne
Wykonywanie i dobieranie prze…
Na podstawie zamieszczonej informacji oceń stopień mobilności pacjenta.
| Pacjent może poruszać się na zewnątrz za pomocą protezy w sposób nieograniczony. Czas poruszania się i długość pokonywanej drogi nie są limitowane. Ze względu na duże wymagania pacjenta dotyczące funkcjonalności protezy mogą pojawić się zniekształcenia, naprężenia, obciążenie uderzeniowe. Celem terapii jest przywrócenie zdolności samodzielnego stania i nieograniczonej możliwości poruszania się w pomieszczeniu zamkniętym jak i na zewnątrz. |
A. 1°
B. 2°
C. 4°
D. 3°
MED.11 Pytanie 224
Wykonywanie i dobieranie prze…
Przyrząd przedstawiony na rysunku służy do

A. szarfowania skóry.
B. wygładzania powierzchni plastiku.
C. przycinania silikonu.
D. obszywania krawędzi materiału tekstylnego.
Wykonywanie i dobieranie prze…
Na ilustracji przedstawiono gorset typu

A. Bählera.
B. Jewetta.
C. Chêneau.
D. Milwaukee.
MED.11 Pytanie 226
Wykonywanie i dobieranie prze…
Po amputacji nogi na poziomie uda, przed rozpoczęciem tymczasowego zaprotezowania w trakcie gojenia rany, nie powinno się pacjentowi zalecać
A. gorących kąpieli
B. bandażowania kikuta
C. hartowania kikuta
D. terapii ułożeniowej
MED.11 Pytanie 227
Wykonywanie i dobieranie prze…
Ile ortez AFO można wytworzyć z arkusza polipropylenu o rozmiarze 100 cm x 100 cm, gdy do produkcji jednej ortezy AFO wykorzystano arkusz o wymiarach 20 cm x 35 cm?
A. 5 sztuk
B. 10 sztuk
C. 15 sztuk
D. 12 sztuk
MED.11 Pytanie 228
Wykonywanie i dobieranie prze…
Którego zestawu materiałów należy użyć do wykonania leja protezowego goleni dla pacjenta z bardzo wrażliwym kikutem?
| zestaw | lej wewnętrzny | lej zewnętrzny |
|---|---|---|
| 1 | kampolit | laminat z żywicy epoksydowej |
| 2 | silikon | poliform |
| 3 | kompozyt akrylowy | poliuretan |
| 4 | żywica epoksydowa | tworzywo termoplastyczne |
A. 2
B. 3
C. 1
D. 4
Wykonywanie i dobieranie prze…
Obcas ortopedyczny Thomasa korygujący koślawość stóp przedstawiono na ilustracji
A. D.

B. B.

C. C.

D. A.

Wykonywanie i dobieranie prze…
Podczas tworzenia pozytywu gipsowego dla dolnej kończyny, struktury kostne powinny zostać
A. odciążone
B. domodelowane
C. ścięte
D. dociążone
MED.11 Pytanie 231
Wykonywanie i dobieranie prze…
Osoba w podeszłym wieku z protezą pozbawioną systemu sterowania, rozwierając protezę zdrową kończyną, zarządza nią w sposób
A. bierny
B. bioelektryczny
C. czynny
D. mechaniczny
Wykonywanie i dobieranie prze…
Aby dobrać odpowiedni rozmiar pieluchomajtek, jakie obwody należy zmierzyć?
A. w biodrach i w talii
B. na wysokości wzgórka łonowego
C. w najszerszym miejscu pośladków
D. w udach i w talii
Wykonywanie i dobieranie prze…
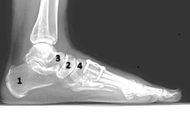
Pacjentowi, u którego dokonano amputacji stopy na poziomie stawów śródstopno-stępowych, przeprowadzono odjęcie typu
A. Syme'a
B. Lisfranca
C. Choparta
D. Sharpa
Wykonywanie i dobieranie prze…
Po jakim okresie od daty wydania traci moc zlecenie na naprawę sprzętu ortopedycznego?
A. 14 dni
B. 3 miesiące
C. 30 dni
D. 6 miesięcy
MED.11 Pytanie 235
Wykonywanie i dobieranie prze…
Przedstawiony na rysunku przyrząd służy do

A. szycia skóry.
B. nitowania.
C. nawlekania sznurówek.
D. wkręcania śrub.
Wykonywanie i dobieranie prze…
W urządzeniu odciążającym dolną kończynę, strzemię musi być zgięte pod kątem
A. 90°
B. 70°
C. 40°
D. 50°
MED.11 Pytanie 237
Wykonywanie i dobieranie prze…
W trakcie zimowego przeglądu mobilnego balkonika dla osoby z ograniczeniami ruchowymi, należy w szczególności zwrócić uwagę na
A. siedzisko z możliwością odchylenia i półkę
B. podparcia oraz koszyk na zakupy
C. hamulec i opony antypoślizgowe
D. osłonę piersiową oraz uchwyty
Wykonywanie i dobieranie prze…
Pętli Glissona nie używa się
A. do zakupu gorsetów
B. do uzyskiwania negatywów, odlewów gipsowych
C. jako wyciągu w przypadku złamań kręgosłupa
D. jako ortezy odciążające kończyny górne
MED.11 Pytanie 239
Wykonywanie i dobieranie prze…
Podczas odbioru aparatu Thomasa z plastikową tuleją technik ortopeda powinien poinformować pacjenta, że wnętrze tulei należy
A. czyścić suchą szmatką
B. czyścić gąbką zwilżoną benzyną
C. czyścić wodą z mydłem i starannie osuszać
D. czyścić wodą z mydłem i suszyć w pobliżu kaloryfera
Wykonywanie i dobieranie prze…
Odcinek 1/3 dystalnej długości goleni określa się jako przestrzeń martwą, dlatego na tym poziomie nie przeprowadza się amputacji z powodu
A. obecności dużej masy mięśniowej
B. zredukowanej potliwości
C. bogatego ukrwienia tego obszaru
D. słabego ukrwienia tego obszaru