Filtrowanie pytań
Świadczenie usług medycznych …
A. medycyny nuklearnej.
B. diagnostyki radiologicznej.
C. terapii megawoltowej.
D. terapii ortowoltowej.
Świadczenie usług medycznych …
Centratory laserowe zamontowane w kabinie aparatu terapeutycznego służą do
A. ustalania położenia zmiany nowotworowej.
B. oświetlania kabiny podczas terapii.
C. pozycjonowania pacjenta.
D. odmierzania odległości.
Świadczenie usług medycznych …
W technice napromieniania SSD mierzona jest odległość źródła promieniowania
A. od stołu aparatu terapeutycznego.
B. od napromienianego guza.
C. od izocentrum aparatu terapeutycznego.
D. od punktu zdefiniowanego na skórze pacjenta.
Świadczenie usług medycznych …
Ile razy i jak zmieni się wartość natężenia promieniowania X przy zwiększeniu odległości OF ze 100 cm do 200 cm?
A. Czterokrotnie się zwiększy.
B. Czterokrotnie się zmniejszy.
C. Dwukrotnie się zmniejszy.
D. Dwukrotnie się zwiększy.
Świadczenie usług medycznych …
Teleterapia polega na napromienowaniu
A. promieniowaniem ze źródła umieszczonego w obrębie guza nowotworowego.
B. wyłącznie promieniowaniem fotonowym ze źródeł zewnętrznych.
C. promieniowaniem fotonowym lub cząsteczkowym ze źródeł zewnętrznych.
D. promieniowaniem ze źródła umieszczonego pod skórą pacjenta.
Świadczenie usług medycznych …
Wiązka elektronów najczęściej stosowana jest do leczenia zmian nowotworowych w obrębie
A. skóry i płytko pod skórą.
B. prostaty.
C. macicy.
D. płuc.
Świadczenie usług medycznych …
Glukoza podawana pacjentowi w badaniu PET jest znakowana radioaktywnym
A. fluorem.
B. technetem.
C. torem.
D. fosforem.
Świadczenie usług medycznych …
Promieniowanie rentgenowskie jest
A. strumieniem elektronów.
B. falą elektromagnetyczną.
C. falą ultradźwiękową.
D. strumieniem protonów.
Świadczenie usług medycznych …
Jednostką indukcji magnetycznej jest
A. om (Ω)
B. weber (Wb)
C. kulomb (C)
D. tesla (T)
Świadczenie usług medycznych …
W scyntygrafii wykorzystywane są głównie radioizotopy emitujące promieniowanie
A. neutronowe.
B. gamma.
C. alfa.
D. beta.
Świadczenie usług medycznych …
W której technice obrazowania zostają zarejestrowane jednocześnie dwa przeciwbieżne kwanty promieniowania gamma o równej energii 511 keV?
A. Tomografii emisyjnej pojedynczego fotonu.
B. Scyntygrafii dynamicznej.
C. Tomografii komputerowej.
D. Pozytonowej tomografii emisyjnej.
Świadczenie usług medycznych …
Podstawowym elementem diagnostycznym aparatury izotopowej wykorzystującej emisyjne metody pomiaru jest
A. woltomierz.
B. kamera scyntylacyjna.
C. komora jonizacyjna.
D. amperomierz.
Świadczenie usług medycznych …
W technice napromieniania SSD mierzona jest odległość źródła promieniowania od
A. punktu zdefiniowanego na skórze pacjenta.
B. stołu aparatu terapeutycznego.
C. napromienianego guza.
D. izocentrum aparatu terapeutycznego.
Świadczenie usług medycznych …
W radiografii mianem SID określa się
A. odległość między źródłem promieniowania a detektorem obrazu.
B. system automatycznej kontroli ekspozycji.
C. system automatycznej regulacji jasności.
D. odległość między obiektem badanym a detektorem obrazu.
Świadczenie usług medycznych …
Obrazy DDR są tworzone w trakcie
A. wykonywania przekrojów w tomografii komputerowej.
B. planowania radioterapii w komputerowym systemie planowania leczenia.
C. weryfikacji geometrii pól terapeutycznych na symulatorze rentgenowskim.
D. napromieniowania na aparacie terapeutycznym.
Świadczenie usług medycznych …
Parametr SNR w obrazowaniu MR oznacza
A. wielkość pola widzenia.
B. grubość obrazowanej warstwy.
C. stosunek sygnału do szumu.
D. rozmiar matrycy.
Świadczenie usług medycznych …
Standardowe badanie USG średniej wielkości piersi wykonuje się głowicą w zakresie częstotliwości
A. 7,5-15 MHz
B. 2-3,5 MHz
C. 4,5-7 MHz
D. 0,5-1 MHz
Świadczenie usług medycznych …
Nieostrość geometryczna obrazu rentgenowskiego zależy od
A. wielkości ziarna luminoforu folii wzmacniającej.
B. ilości promieniowania rozproszonego.
C. grubości emulsji błony rentgenowskiej.
D. wielkości ogniska optycznego.
Świadczenie usług medycznych …
Ligand stosuje się
A. w rezonansie magnetycznym jako środek kontrastujący pozytywny.
B. w radiologii klasycznej jako środek kontrastujący pozytywny.
C. w medycynie nuklearnej jako nośnik radiofarmaceutyku.
D. w radiologii klasycznej jako środek kontrastujący negatywny.
Świadczenie usług medycznych …
Zgodnie z obowiązującymi przepisami powierzchnia gabinetu rentgenowskiego, w którym jest zainstalowany zestaw rentgenowski do badań naczyniowych, powinna wynosić
A. 20 m²
B. 15 m²
C. 25 m²
D. 8 m²
Świadczenie usług medycznych …
Na ilustracji przedstawiono zjawisko

A. tworzenia par.
B. anihilacji.
C. emisji fotonu.
D. fotoelektryczne.
Świadczenie usług medycznych …
Obrazowanie portalowe w radioterapii służy do
A. weryfikacji pola napromienianego.
B. zniekształcenia wiązki promieniowania.
C. pozycjonowania pacjenta.
D. przekazywania danych o pacjencie.
Świadczenie usług medycznych …
Który materiał światłoczuły należy zastosować w rentgenodiagnostyce analogowej, by zminimalizować dawkę promieniowania jonizującego otrzymaną przez pacjenta?
A. Film z folią wolframowo-wapniową.
B. Film z folią z pierwiastkami ziem rzadkich.
C. Film jednostronnie pokryty emulsją.
D. Film bez folii wzmacniającej.
Świadczenie usług medycznych …
Pracownia radioterapii z przyspieszaczem liniowym jest obszarem
A. kontrolowanym.
B. izolowanym.
C. nadzorowanym.
D. ograniczonym.
Świadczenie usług medycznych …
W sekwencji echa spinowego obraz T2-zależny uzyskuje się przy czasie repetycji TR
A. powyżej 2000 ms
B. od 800 ms do 900 ms
C. od 500 ms do 700 ms
D. od 300 ms do 400 ms
Świadczenie usług medycznych …
Która sekwencja obrazowania MR wykorzystuje impulsy RF o częstotliwości rezonansowej tłuszczu do tłumienia sygnału pochodzącego z tkanki tłuszczowej?
A. FAT SAT
B. TOF
C. PCA
D. MTC
Świadczenie usług medycznych …
Planowany obszar napromieniania PTV obejmuje
A. guz w mózgu bez marginesów.
B. wyłącznie obszar napromieniania guza.
C. guz w płucach bez marginesów.
D. obszar napromieniania guza wraz z marginesami.
Świadczenie usług medycznych …
Zarejestrowany na obrazie TK artefakt jest spowodowany

A. ruchem mimowolnym.
B. nieliniowym osłabieniem wiązki.
C. metalowym implantem.
D. wysokim stężeniem środka cieniującego.
Świadczenie usług medycznych …
Hiperfrakcjonowanie dawki w teleradioterapii polega na napromienianiu 2 do 3 razy dziennie dawką frakcyjną
A. mniejszą niż 2 Gy i wydłużeniu całkowitego czasu leczenia.
B. mniejszą niż 2 Gy bez zmiany całkowitego czasu leczenia.
C. większą niż 2 Gy i wydłużeniu całkowitego czasu leczenia.
D. większą niż 2 Gy bez zmiany całkowitego czasu leczenia.
Świadczenie usług medycznych …
Gruboziarnista folia wzmacniająca wpływa na zwiększenie na obrazie rentgenowskim nieostrości
A. fotograficznej.
B. rozproszeniowej.
C. ruchowej.
D. geometrycznej.
Świadczenie usług medycznych …
Które środki kontrastujące wykorzystywane są w diagnostyce rezonansem magnetycznym?
A. Środki na bazie gadolinu.
B. Środki na bazie siarczanu baru.
C. Jodowe, rozpuszczalne w wodzie.
D. Jodowe, nierozpuszczalne w wodzie.
Świadczenie usług medycznych …
Jakie wiązki promieniowania emituje medyczny akcelerator liniowy?
A. Elektronowe i neutronowe.
B. Protonowe i neutronowe.
C. Fotonowe i elektronowe.
D. Fotonowe i protonowe.
Świadczenie usług medycznych …
Na zamieszczonej rycinie przedstawiono

A. zjawisko tworzenia par.
B. efekt Comptona.
C. zjawisko fotoelektryczne.
D. zjawisko anihilacji.
Świadczenie usług medycznych …
Emisja fali elektromagnetycznej występuje w procesie rozpadu promieniotwórczego
A. gamma.
B. beta minus.
C. alfa.
D. beta plus.
Świadczenie usług medycznych …
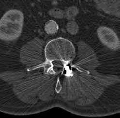
Który artefakt jest widoczny na skanie tomografii komputerowej?

A. Metaliczny.
B. Elektrostatyczny.
C. Utwardzonej wiązki.
D. Ruchowy.
Świadczenie usług medycznych …
Po wykonanej radioterapii do dokumentacji pacjenta należy wpisać dawkę promieniowania w jednostce
A. Siwert (Sv)
B. Grej (Gy)
C. Bekerel (Bq)
D. Kiur (Ci)
Świadczenie usług medycznych …
Jak określa się rekonstrukcję obrazów TK, której wynikiem są obrazy dwuwymiarowe tworzone w dowolnej płaszczyźnie przez wtórną obróbkę zestawionych ze sobą wielu przekrojów poprzecznych?
A. Maksymalnej intensywności MIP.
B. Cieniowanych powierzchni SSD.
C. Odwzorowania objętości VTR.
D. Wielopłaszczyznowa MPR.
Świadczenie usług medycznych …
Elementem pomocniczym w radioterapii, zapewniającym powtarzalność ułożenia w pozycji terapeutycznej, a także unieruchomienie pacjenta, jest
A. osłona.
B. maska termoplastyczna.
C. bolus.
D. filtr kompensacyjny.
Świadczenie usług medycznych …
W brachyterapii MDR stosowane są dawki promieniowania
A. od 0,2 do 0,4 Gy/h
B. od 0,01 do 0,1 Gy/h
C. od 2,0 do 12 Gy/h
D. od 0,5 do 1,0 Gy/h
Świadczenie usług medycznych …
Brachyterapia polegająca na wielokrotnym wsuwaniu i wysuwaniu źródła promieniowania do tego samego aplikatora nosi nazwę
A. HDR
B. LDR
C. PDR
D. MDR