Filtrowanie pytań
Świadczenie usług medycznych …
A. cewek odbiorczych.
B. cewek gradientowych.
C. przesuwu stołu.
D. magnesu stałego.
Świadczenie usług medycznych …
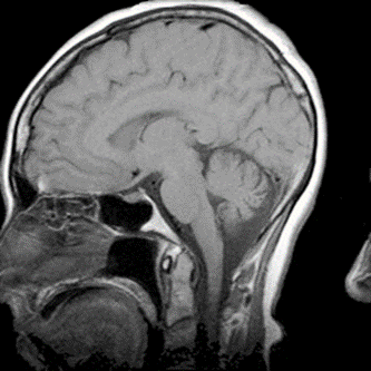
Który artefakt uwidoczniono na skanie RM głowy?

A. Efekt uśrednienia.
B. Poruszenie pacjenta.
C. Zawijanie obrazu.
D. Przesunięcie chemiczne.
Świadczenie usług medycznych …
W radioterapii konwencjonalnej pacjent jest leczony promieniowaniem pochodzącym
A. z rozpadu izotopu radu.
B. z rozpadu izotopu uranu.
C. ze źródeł zewnętrznych.
D. ze źródeł wewnętrznych.
Świadczenie usług medycznych …
W badaniu PET stosuje się tylko radioizotopy emitujące
A. pozytony.
B. elektrony.
C. neutrony.
D. cząstki alfa.
Świadczenie usług medycznych …
W badaniu PET stosuje się tylko radioizotopy emitujące
A. elektrony.
B. neutrony.
C. pozytony.
D. cząstki alfa.
Świadczenie usług medycznych …
Która struktura może być oknem akustycznym w badaniu ultrasonograficznym?
A. Przestrzeń międzyżebrowa.
B. Wypełniony płynem pęcherz moczowy.
C. Wypełnione gazami jelito cienkie.
D. Złóg w pęcherzyku żółciowym.
Świadczenie usług medycznych …
Zwiększenie napięcia na lampie rentgenowskiej powoduje
A. wydłużenie fali i zmniejszenie przenikliwości promieniowania X.
B. wydłużenie fali i zwiększenie przenikliwości promieniowania X.
C. skrócenie fali i zmniejszenie przenikliwości promieniowania X.
D. skrócenie fali i zwiększenie przenikliwości promieniowania X.
Świadczenie usług medycznych …
W medycynie nuklearnej wykorzystuje się:
A. ultrasonograf, scyntygraf i EMG.
B. scyntygraf, gammakamerę, emisyjną tomografię i PET.
C. gammakamerę, PET, USG i scyntygraf.
D. emisyjną tomografię, EEG, scyntygraf.
Świadczenie usług medycznych …
W pracowni radioterapii wyświetlenie na ekranie monitora aparatu komunikatu „ROTATION” oznacza prowadzoną terapię
A. paliatywną.
B. obrotową.
C. radykalną.
D. całego ciała.
Świadczenie usług medycznych …
Testy podstawowe z zakresu geometrii pola rentgenowskiego, przeznaczone do sprawdzenia zgodności pola wiązki promieniowania rentgenowskiego z symulacją świetlną, są wykonywane raz
A. w miesiącu.
B. w roku.
C. w tygodniu.
D. w kwartale.
Świadczenie usług medycznych …
Który detektor w radiografii wymaga laserowego czytnika obrazu?
A. Błona halogenosrebrowa.
B. Detektor selenowy.
C. Płyta fosforowa.
D. Detektor krzemowy.
Świadczenie usług medycznych …
W leczeniu izotopowym tarczycy podaje się
A. dożylnie emiter promieniowania β
B. doustnie emiter promieniowania α
C. doustnie emiter promieniowania β
D. dożylnie emiter promieniowania α
Świadczenie usług medycznych …
Promieniowanie jonizujące pośrednio to
A. promieniowanie β⁺
B. promieniowanie γ
C. promieniowanie β⁻
D. promieniowanie α
Świadczenie usług medycznych …
Do pomiaru dawek indywidualnych u osób narażonych zawodowo na promieniowanie rentgenowskie są stosowane
A. detektory termoluminescencyjne.
B. detektory półprzewodnikowe.
C. liczniki scyntylacyjne.
D. liczniki geigera.
Świadczenie usług medycznych …
Ligand stosuje się
A. w radiologii klasycznej jako środek kontrastujący negatywny.
B. w medycynie nuklearnej jako nośnik radiofarmaceutyku.
C. w radiologii klasycznej jako środek kontrastujący pozytywny.
D. w rezonansie magnetycznym jako środek kontrastujący pozytywny.
Świadczenie usług medycznych …
Który środek ochrony radiologicznej należy zastosować podczas badania czaszki 53-letniego pacjenta za pomocą tomografii komputerowej?
A. Fartuch z gumy ołowiowej.
B. Okulary ze szkłem ołowiowym.
C. Osłonę z gumy ołowiowej na tarczycę.
D. Osłonę z gumy ołowiowej na gonady.
Świadczenie usług medycznych …
Kasety do pośredniej radiografii cyfrowej CR są wyposażone
A. w folie wzmacniające.
B. w płyty ołowiowe.
C. w filmy rentgenowskie.
D. w płyty fosforowe.
Świadczenie usług medycznych …
W badaniu MR czas repetycji TR jest parametrem określającym odstęp czasu między
A. dwoma kolejnymi impulsami pobudzającymi RF90ᵒ
B. impulsem inwersji 180ᵒ a czasem powstania sygnału (echa).
C. impulsem inwersji 90ᵒ a czasem powstania sygnału (echa).
D. dwoma kolejnymi impulsami pobudzającymi RF180ᵒ
Świadczenie usług medycznych …
W obrazowaniu metodą rezonansu magnetycznego T1 oznacza czas
A. inwersji.
B. echa.
C. relaksacji poprzecznej.
D. relaksacji podłużnej.
Świadczenie usług medycznych …
Osłony na gonady dla osób dorosłych powinny posiadać równoważnik osłabienia promieniowania nie mniejszy niż
A. 0,35 mm Pb
B. 1,00 mm Pb
C. 0,50 mm Pb
D. 0,75 mm Pb
Świadczenie usług medycznych …
Diagnozowanie metodą PET oparte jest na zjawisku
A. fotoelektrycznym.
B. rozproszenia klasycznego.
C. anihilacji pozytonu i elektronu.
D. Comptona.
Świadczenie usług medycznych …
Radioizotopowa terapia medycyny nuklearnej polega na wprowadzeniu do tkanek lub narządów radiofarmaceutyku
A. emitującego promieniowanie β ze źródeł otwartych.
B. znajdującego się w odległości 50 cm od pacjenta.
C. emitującego promieniowanie γ ze źródeł otwartych.
D. znajdującego się w odległości 100 cm od pacjenta.
Świadczenie usług medycznych …
Technika stereotaktyczna polega na napromienianiu nowotworu
A. wieloma wiązkami z jednej strony.
B. wieloma wiązkami zbiegającymi się w jednym punkcie.
C. wieloma wiązkami wychodzącymi z jednego punktu.
D. jednym dużym polem.
Świadczenie usług medycznych …
Rozpraszanie promieniowania X, w wyniku którego następuje zwiększenie długości fali promieniowania, to zjawisko
A. Maxwella.
B. Boltzmana.
C. Comptona.
D. Bragga.
Świadczenie usług medycznych …
Promieniowanie rentgenowskie jest
A. strumieniem protonów.
B. falą ultradźwiękową.
C. strumieniem elektronów.
D. falą elektromagnetyczną.
Świadczenie usług medycznych …
Standardowo do wykonania których zdjęć należy zastosować kratkę przeciwrozproszeniową?
A. Jamy brzusznej i stawu łokciowego.
B. Klatki piersiowej i nadgarstka.
C. Czaszki i jamy brzusznej.
D. Czaszki i stawu skokowego.
Świadczenie usług medycznych …
Dawka graniczna wyrażona jako dawka skuteczna (efektywna), dla osób zawodowo narażonych na działanie promieniowania jonizującego wynosi w ciągu roku kalendarzowego
A. 15 mSv
B. 20 mSv
C. 8 mSv
D. 6 mSv
Świadczenie usług medycznych …
Wskaż roczną dawkę graniczną dla osób zatrudnionych w warunkach narażenia na promieniowanie jonizujące.
A. 15 mSv
B. 30 mSv
C. 20 mSv
D. 5 mSv
Świadczenie usług medycznych …
Który radioizotop jest emiterem promieniowania alfa?
A. 99mTc
B. 223Ra
C. 18F
D. 131I
Świadczenie usług medycznych …
Wysoką rozdzielczość przestrzenną obrazowania MR uzyskuje się przez
A. zmniejszenie wielkości FoV i zmniejszenie matrycy obrazującej.
B. zmniejszenie wielkości FoV i zwiększenie matrycy obrazującej.
C. zwiększenie wielkości FoV i zwiększenie matrycy obrazującej.
D. zwiększenie wielkości FoV i zmniejszenie matrycy obrazującej.
Świadczenie usług medycznych …
Jakie są wielkości mocy dawki stosowanej w brachyterapii HDR?
A. ponad 12 Gy/godzinę.
B. 3 – 6 Gy/godzinę.
C. 7 – 12 Gy/godzinę.
D. 0,4 – 2 Gy/godzinę.
Świadczenie usług medycznych …
Proces chemicznego wywoływania radiogramów polega na
A. redukcji bromku potasowego na brom.
B. usunięciu z filmu naświetlonych halogenków srebra.
C. redukcji naświetlonych halogenków srebra na srebro metaliczne.
D. usunięciu z filmu bromku potasowego.
Świadczenie usług medycznych …
Elementem systemu rejestracji obrazu, w którym fotony promieniowania X są bezpośrednio konwertowane na sygnał elektryczny, jest
A. detektor z jodkiem cezu.
B. błona halogenosrebrowa.
C. płyta luminoforowa.
D. detektor z amorficznym selenem.
Świadczenie usług medycznych …
Przemiana promieniotwórcza radu w ren opisana wzorem ₈₈²²⁶Ra → ₈₆²²²Rn + ₂⁴He jest rozpadem
A. gamma.
B. alfa.
C. beta plus.
D. beta minus.
Świadczenie usług medycznych …
Promieniowanie rentgenowskie powstaje w wyniku hamowania
A. kwantów energii na katodzie lampy rentgenowskiej.
B. kwantów energii na anodzie lampy rentgenowskiej.
C. elektronów na katodzie lampy rentgenowskiej.
D. elektronów na anodzie lampy rentgenowskiej.
Świadczenie usług medycznych …
W badaniu PETCT radioizotop ulega
A. rozpadowi β +, emitując pozyton.
B. rozpadowi γ, emitując pozyton.
C. rozpadowi γ, emitując foton promieniowania.
D. rozpadowi β -, emitując elektron.
Świadczenie usług medycznych …
W pozytonowej tomografii emisyjnej PET zostaje zarejestrowane promieniowanie powstające podczas
A. rozpraszania comptonowskiego.
B. anihilacji pary elektron-pozyton.
C. rozpraszania culombowskiego.
D. anihilacji pary proton-antyproton.
Świadczenie usług medycznych …
W medycznym przyspieszaczu liniowym jest generowana wiązka fotonów o energii w zakresie
A. 100 ÷ 150 MeV
B. 0,1 ÷ 0,3 MeV
C. 4 ÷ 25 MeV
D. 1 ÷ 3 MeV
Świadczenie usług medycznych …
Więzka promieniowania X to
A. cząstki dodatnio naładowane uginające się w polu elektromagnetycznym.
B. kwanty energii nieuginające się w polu elektromagnetycznym.
C. kwanty energii uginające się w polu elektromagnetycznym.
D. cząstki ujemnie naładowane uginające się w polu elektromagnetycznym.
Świadczenie usług medycznych …
Który parametr ekspozycji ma decydujący wpływ na kontrast obrazu rentgenowskiego?
A. Odległość źródła promieniowania od detektora [cm].
B. Iloczyn natężenia promieniowania i czasu [mAs].
C. Filtracja [mm Al].
D. Napięcie na lampie [kV].