Filtrowanie pytań

Wybierz zawód, aby zobaczyć dostępne kwalifikacje

Świadczenie usług medycznych …

Na radiogramie uwidoczniono

Ilustracja do pytania 3
A. złamanie podstawy I kości śródstopia.
B. paluch koślawy (hallux valgus) stopy prawej.
C. paluch szpotawy(hallux varus) stopy prawej.
D. złamanie guzowatości V kości śródstopia.
Świadczenie usług medycznych …

Pielografia zstępująca umożliwia diagnostykę

A. pęcherza moczowego po podaniu środka kontrastującego przez cewnik.
B. układu naczyniowego po dożylnym podaniu środka kontrastującego.
C. miąższu nerek po dożylnym podaniu środka kontrastującego.
D. dróg moczowych po przezskórnym podaniu środka kontrastującego do miedniczki.
Świadczenie usług medycznych …

Którą strukturę anatomiczną uwidoczniono na zamieszczonym obrazie USG?

Ilustracja do pytania 5
A. Pęcherzyk żółciowy z kamieniami.
B. Ciężarną macicę z czterema płodami.
C. Nerkę lewą ze złogami.
D. Pęcherz moczowy z kamieniami.
Świadczenie usług medycznych …

Na obrazie MR kręgosłupa lędźwiowego strzałką wskazano

Ilustracja do pytania 7
A. przepuklinę na poziomie L2-L3
B. osteofit na poziomie L2-L3
C. osteofit na poziomie L4-L5
D. przepuklinę na poziomie L4-L5
Świadczenie usług medycznych …

Rozpoczęcie badania TK nerek po 20-30 sekundach od początku podania środka kontrastowego umożliwia diagnostykę

A. dróg moczowych.
B. żył nerkowych.
C. kory i rdzenia nerek.
D. tętnic nerkowych.
Świadczenie usług medycznych …

Którą metodą zostało wykonane badanie kręgosłupa zobrazowane na zdjęciu?

Ilustracja do pytania 13
A. Radiologii klasycznej.
B. Tomografii komputerowej.
C. Rezonansu magnetycznego.
D. Scyntygrafii statycznej.
Świadczenie usług medycznych …

Badanie gęstości mineralnej kości metodą DXA należy wykonać

A. z bliższego końca kości strzałkowej.
B. z dalszego końca kości udowej.
C. z bliższego końca kości udowej.
D. z dalszego końca kości strzałkowej.
Świadczenie usług medycznych …

Które kolejne sekwencje badania kręgosłupa lędźwiowego uwidoczniono na przedstawionych obrazach?

Ilustracja do pytania 15
A. Sag T2, Sag STIR, Sag T1
B. Sag T2, Sag T1, Sag STIR
C. Sag STIR, Sag T2, Sag T1
D. Sag T1, Sag STIR, Sag T2
Świadczenie usług medycznych …

Na przekroju poprzecznym TK mózgu strzałką wskazano obszar

Ilustracja do pytania 17
A. hypodensyjny w płacie czołowym.
B. hyperdensyjny w płacie czołowym.
C. hypodensyjny w móżdżku.
D. hyperdensyjny w móżdżku.
MED.08 Pytanie 20
Świadczenie usług medycznych …

Co określa M₀ w systemie klasyfikacji nowotworów TNM?

A. Nie stwierdza się przerzutów w regionalnych węzłach chłonnych.
B. Nie można ocenić regionalnych węzłów chłonnych.
C. Nie można ocenić obecności przerzutów odległych.
D. Nie stwierdza się przerzutów odległych.
Świadczenie usług medycznych …

W badaniu cystografii wstępującej środek kontrastowy należy podać

A. bezpośrednio do pęcherza moczowego.
B. przez powłoki skórne do miedniczki nerkowej.
C. bezpośrednio do układu kielichowo-miedniczkowego.
D. wstecznie do moczowodu.
Świadczenie usług medycznych …

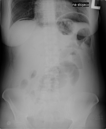
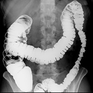
Przedstawiony obraz radiologiczny został zarejestrowany podczas badania jelita

Ilustracja do pytania 23
A. cienkiego po doustnym podaniu środka kontrastującego.
B. cienkiego po doodbytniczym podaniu środka kontrastującego.
C. grubego po doustnym podaniu środka kontrastującego.
D. grubego po doodbytniczym podaniu środka kontrastującego.
Świadczenie usług medycznych …

W których projekcjach wykonuje się standardowe badanie mammograficzne?

A. Kraniokaudalnej i skośnej przyśrodkowo-bocznej.
B. Kraniokaudalnej i zrotowanej.
C. Kaudokranialnej i skośnej przyśrodkowo-bocznej.
D. Kaudokranialnej i zrotowanej.
Świadczenie usług medycznych …

Na obrazie rezonansu magnetycznego strzałką oznaczono wyrostek kolczysty kręgu

Ilustracja do pytania 27
A. szyjnego w płaszczyźnie strzałkowej.
B. szyjnego w płaszczyźnie czołowej.
C. piersiowego w płaszczyźnie czołowej.
D. piersiowego w płaszczyźnie strzałkowej.
Świadczenie usług medycznych …

Miejscem wykonania pomiaru densytometrycznego z kości przedramienia jest

A. koniec dalszy kości promieniowej strony niedominującej.
B. środek trzonu kości promieniowej strony niedominującej.
C. środek trzonu kości promieniowej strony dominującej.
D. koniec dalszy kości promieniowej strony dominującej.
MED.08 Pytanie 38
Świadczenie usług medycznych …

Jak oznacza się w systemie międzynarodowym czwarty górny ząb mleczny po stronie prawej?

A. 14
B. 54
C. 84
D. 24
Świadczenie usług medycznych …

W której projekcji należy wykonać badanie radiologiczne kręgosłupa lędźwiowego, by na otrzymanym zdjęciu wyrostki kręgów lędźwiowych układały się w charakterystyczny kształt piesków (teriera szkockiego)?

A. PA
B. AP
C. Bocznej.
D. Skośnej.