Filtrowanie pytań
Świadczenie usług medycznych …
A. pokarmowego.
B. limfatycznego.
C. moczowego.
D. płciowego.
Świadczenie usług medycznych …
Przy ułożeniu do zdjęcia kręgów szyjnych CIII-CVII w projekcji przednio-tylnej lampa może być odchylona o kąt
A. 10°-15° doogonowo.
B. 10°-15° dogłowowo.
C. 40°-45° dogłowowo.
D. 40°-45° doogonowo.
Świadczenie usług medycznych …
Na obrazie scyntygrafii perfuzyjnej serca strzałką wskazano ścianę

A. dolną serca.
B. przednią serca.
C. przegrodową serca.
D. boczną serca.
Świadczenie usług medycznych …
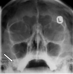
Na prawidłowo wykonanym zdjęciu zatok w projekcji PA górny zarys piramid rzutuje się
A. poniżej zatok szczękowych.
B. poniżej dolnego brzegu oczodołu.
C. powyżej zatok szczękowych.
D. na dolny brzeg oczodołu.
Świadczenie usług medycznych …
W celu oceny wieku kostnego u dziecka praworęcznego, wykonuje się pojedyncze zdjęcie w projekcji
A. P-A ręki prawej
B. A-P ręki lewej.
C. P-A ręki lewej.
D. A-P ręki prawej.
Świadczenie usług medycznych …
Na obrazie rezonansu magnetycznego strzałką oznaczono patologiczny kręg

A. L1
B. TH10
C. L3
D. TH8
Świadczenie usług medycznych …
Dobierz dla standardowego pacjenta projekcję, pozycję i sposób ułożenia kasety o wymiarach 30 cm × 40 cm do zdjęcia przeglądowego układu moczowego.
| Projekcja | Pozycja | Ułożenie kasety | |||
|---|---|---|---|---|---|
| 1. | AP | 3. | stojąca | 5. | poprzeczne |
| 2. | PA | 4. | leżąca | 6. | podłużne |
A. 1, 4, 6
B. 2, 3, 6
C. 2, 4, 5
D. 1, 3, 5
Świadczenie usług medycznych …
Na ilustracji przedstawiono pozycjonowanie pacjentki do badania mammograficznego w projekcji

A. dolinowej.
B. kleopatry.
C. skośnej.
D. stycznej.
Świadczenie usług medycznych …
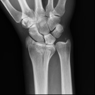
Na obrazie radiologicznym nadgarstka uwidoczniono złamanie nasady

A. dalszej kości promieniowej.
B. bliższej kości promieniowej.
C. bliższej kości łokciowej.
D. dalszej kości łokciowej.
Świadczenie usług medycznych …
Którą strukturę anatomiczną oznaczono na obrazie rezonansu magnetycznego?

A. Trzon kości ramiennej.
B. Głowę kości ramiennej.
C. Guzek większy kości ramiennej.
D. Guzek mniejszy kości ramiennej.
Świadczenie usług medycznych …
Koronarografia jest radiologicznym zabiegiem diagnostycznym pozwalającym ocenić drożność
A. żył obwodowych.
B. tętnic wieńcowych.
C. żył wieńcowych.
D. tętnic obwodowych.
Świadczenie usług medycznych …
Strzałką na schemacie oznaczono

A. lewą odnogę pęczka Hisa.
B. węzeł przedsionkowo-komorowy.
C. węzeł zatokowo-przedsionkowy.
D. prawą odnogę pęczka Hisa.
Świadczenie usług medycznych …
Na obrazie RM uwidoczniono odcinek kręgosłupa

A. Th w przekroju czołowym.
B. L w przekroju czołowym.
C. L w przekroju strzałkowym.
D. Th w przekroju strzałkowym.
Świadczenie usług medycznych …
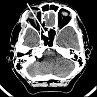
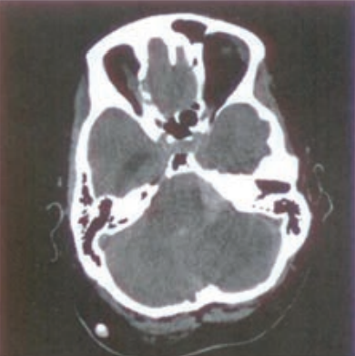
Na radiogramie TK głowy strzałką wskazano

A. zatokę sitową.
B. zbiornik wielki.
C. zatokę klinową.
D. przegrodę nosową.
Świadczenie usług medycznych …
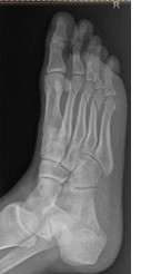
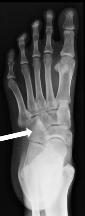
Na rentgenogramie stopy uwidocznione jest złamanie

A. I i V kości śródstopia.
B. paliczka bliższego palca I i II.
C. III i IV kości śródstopia.
D. paliczka bliższego palca I i V.
Świadczenie usług medycznych …
Do zdjęcia prawych otworów międzykręgowych kręgosłupa szyjnego pacjent stoi w skosie
A. lewym tylnym.
B. prawym przednim.
C. lewym przednim.
D. prawym tylnym.
Świadczenie usług medycznych …
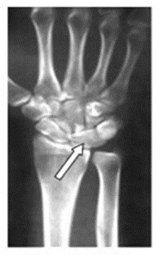
Na zamieszczonym obrazie radiologicznym nadgarstka strzałką wskazano kość

A. księżycowatą.
B. grochowatą.
C. łódeczkowatą.
D. haczykowatą.
Świadczenie usług medycznych …
Na radiogramie żuchwy uwidoczniono złamanie w okolicy

A. prawej gałęzi żuchwy.
B. prawego wyrostka kłykciowego.
C. lewej gałęzi żuchwy.
D. lewego wyrostka kłykciowego.
Świadczenie usług medycznych …
Zamieszczony obraz został wykonany metodą

A. TK
B. USG
C. MRI
D. PET
Świadczenie usług medycznych …
Cholangiografia to badanie radiologiczne
A. pęcherza moczowego.
B. pęcherzyka żółciowego.
C. dróg moczowych.
D. dróg żółciowych.
Świadczenie usług medycznych …
Badanie cewki moczowej polegające na wstecznym wprowadzeniu środka kontrastowego to
A. pielografia wstępująca.
B. uretrografia wstępująca.
C. pielografia zstępująca.
D. cystouretrografia mikcyjna.
Świadczenie usług medycznych …
Na zamieszczonej ilustracji przedstawiono ułożenie pacjenta do wykonania zdjęcia rentgenowskiego

A. kości piętowej.
B. stopy.
C. śródstopia.
D. palców stopy.
Świadczenie usług medycznych …
Którą strukturę anatomiczną oznaczono na zamieszczonym obrazie rezonansu magnetycznego?

A. Głowę kości ramiennej.
B. Guzek większy kości ramiennej.
C. Trzon kości ramiennej.
D. Guzek mniejszy kości ramiennej.
Świadczenie usług medycznych …
Którą strukturę anatomiczną zaznaczono strzałką na rentgenogramie?

A. Staw krzyżowo-biodrowy.
B. Kość kulszową.
C. Kość krzyżową.
D. Talerz biodrowy.
Świadczenie usług medycznych …
Podczas wykonywania zdjęcia rentgenowskiego lewobocznego czaszki promień centralny powinien przebiegać
A. od lewej do prawej strony czaszki, prostopadle do płaszczyzny czołowej.
B. od prawej do lewej strony czaszki, prostopadle do płaszczyzny czołowej.
C. od prawej do lewej strony czaszki, prostopadle do płaszczyzny strzałkowej.
D. od lewej do prawej strony czaszki, prostopadle do płaszczyzny strzałkowej.
Świadczenie usług medycznych …
Cholangiografia to badanie radiologiczne
A. pęcherza moczowego.
B. dróg moczowych.
C. dróg żółciowych.
D. pęcherzyka żółciowego.
Świadczenie usług medycznych …
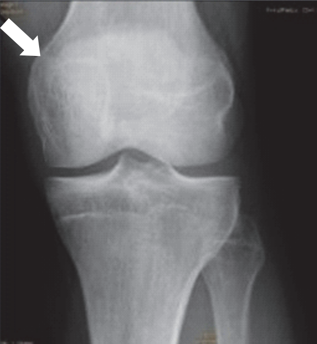
Którą strukturę anatomiczną zaznaczono na radiogramie stawu kolanowego?

A. Nadkłykieć przyśrodkowy.
B. Nadkłykieć boczny.
C. Kłykieć przyśrodkowy.
D. Kłykieć boczny.
Świadczenie usług medycznych …
Na obrazie RM nadgarstka lewego strzałką oznaczono kość

A. główkowatą.
B. łódeczkowatą.
C. księżycowatą.
D. haczykowatą.
Świadczenie usług medycznych …
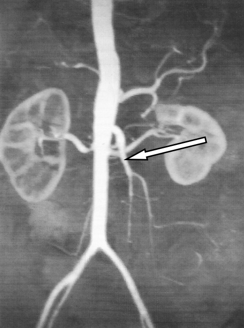
Którą tętnicę zaznaczono strzałką na obrazie MR?

A. Krezkową górną.
B. Śledzionową.
C. Krezkową dolną.
D. Nerkową lewą.
Świadczenie usług medycznych …
Przyczyną zaniku kostnego jest
A. utrata macierzy kostnej.
B. nadmiar witaminy D3.
C. przedawkowanie spożycia wapnia.
D. duży i częsty wysiłek.
Świadczenie usług medycznych …
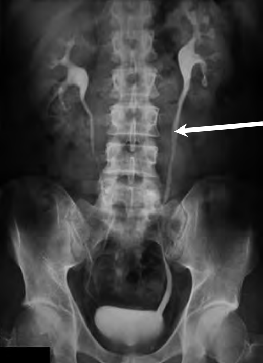
Na prawidłowo przedstawionym radiogramie badania kontrastowego strzałką zaznaczono

A. moczowód prawy.
B. mięsień lędźwiowy prawy.
C. moczowód lewy.
D. mięsień lędźwiowy lewy.
Świadczenie usług medycznych …
Na obrazie cyfrowej angiografii subtrakcyjnej strzałką zaznaczono

A. pień ramienno-głowowy.
B. żyłę płucną górną prawą.
C. pień płucny.
D. tętnicę szyjną wspólną prawą.
Świadczenie usług medycznych …
Na scyntygramie tarczycy uwidoczniono guzek

A. zimny w płacie prawym.
B. gorący w płacie prawym.
C. gorący w płacie lewym.
D. zimny w płacie lewym.
Świadczenie usług medycznych …
Na jakim etapie procesu karcynogenezy dochodzi do inwazji miejscowej nowotworu i tworzenia przerzutów odległych?
A. Konwersji.
B. Inicjacji.
C. Promocji.
D. Progresji.
Świadczenie usług medycznych …
Na radiogramie czaszki strzałką zaznaczono

A. zachyłek jarzmowy.
B. część skalistą kości skroniowej.
C. gałąź żuchwy.
D. zatokę szczękową.
Świadczenie usług medycznych …
Którą kość zaznaczono strzałką na radiogramie stopy?

A. Kość łódkowatą.
B. Kość klinowatą boczną.
C. Kość sześcienną.
D. Kość skokową.
Świadczenie usług medycznych …
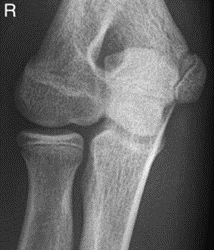
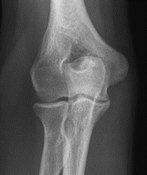
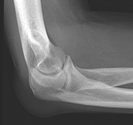
Które zdjęcie RTG stawu łokciowego zostało wykonane w projekcji skośnej w rotacji zewnętrznej?
A. Zdjęcie 1

B. Zdjęcie 2

C. Zdjęcie 3

D. Zdjęcie 4

Świadczenie usług medycznych …
Na którym obrazie rentgenowskim sutka uwidoczniono zmianę patologiczną w obrębie węzłów chłonnych?
A. Obraz 2

B. Obraz 3

C. Obraz 4

D. Obraz 1

Świadczenie usług medycznych …
Zdjęcie którego zęba górnego zlecił na skierowaniu lekarz stomatolog?

A. Prawego trzonowego pierwszego.
B. Prawego przedtrzonowego drugiego.
C. Lewego przedtrzonowego drugiego.
D. Lewego trzonowego pierwszego.
Świadczenie usług medycznych …
Na przekroju poprzecznym TK kręgosłupa szyjnego strzałką wskazano

A. otwór kręgu szczytowego.
B. guzek tylny kręgu szczytowego.
C. ząb kręgu obrotowego.
D. rdzeń kręgowy.