Filtrowanie pytań

Wybierz zawód, aby zobaczyć dostępne kwalifikacje

Świadczenie usług medycznych …

W badaniu cystografii wstępującej środek kontrastowy należy podać

A. przez powłoki skórne do miedniczki nerkowej.
B. wstecznie do moczowodu.
C. bezpośrednio do pęcherza moczowego.
D. bezpośrednio do układu kielichowo-miedniczkowego.
Świadczenie usług medycznych …

Przy ułożeniu do zdjęcia kręgów szyjnych CIII-CVII w projekcji przednio-tylnej lampa może być odchylona o kąt

A. 40°-45° dogłowowo.
B. 40°-45° doogonowo.
C. 10°-15° dogłowowo.
D. 10°-15° doogonowo.
Świadczenie usług medycznych …

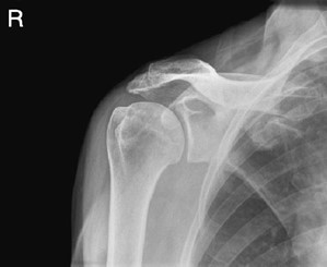
Na radiogramie uwidoczniono

Ilustracja do pytania 8
A. zwichnięcie stawu ramiennego w projekcji przednio-tylnej.
B. prawidłowy obraz stawu ramiennego w projekcji barkowo-pachowej.
C. prawidłowy obraz stawu ramiennego w projekcji przednio-tylnej.
D. zwichnięcie stawu ramiennego w projekcji barkowo-pachowej.
Świadczenie usług medycznych …

Który program wtórnej rekonstrukcji obrazów TK pozwala na odwzorowanie wnętrza jelita grubego, tchawicy i oskrzeli?

A. Wirtualna endoskopia VE.
B. Prezentacja trójwymiarowa 3D.
C. Projekcja maksymalnej intensywności MIP.
D. Rekonstrukcja wielopłaszczyznowa MPR.
Świadczenie usług medycznych …

W ułożeniu do rentgenografii AP stawu kolanowego promień główny pada

A. prostopadle na podstawę rzepki.
B. prostopadle na wierzchołek rzepki.
C. pod kątem 30° na podstawę rzepki.
D. pod kątem 30° na wierzchołek rzepki.
Świadczenie usług medycznych …

Jakie struktury anatomiczne uwidoczniono na obrazie USG?

Ilustracja do pytania 13
A. Ciężarna macica z czterema płodami.
B. Pęcherzyk żółciowy z kamieniami.
C. Pęcherz moczowy z kamieniami.
D. Nerka lewa ze złogami.
MED.08 Pytanie 14
Świadczenie usług medycznych …

Przyczyną zaniku kostnego jest

A. utrata macierzy kostnej.
B. nadmiar witaminy D3.
C. duży i częsty wysiłek.
D. przedawkowanie spożycia wapnia.
Świadczenie usług medycznych …

Które badanie zostało zarejestrowane na przedstawionym radiogramie?

Ilustracja do pytania 16
A. Dróg żółciowych metodą cholangiografii śródoperacyjnej.
B. Jamy brzusznej wykonane poziomą wiązką promieniowania.
C. Płuc wykonane metodą Przybylskiego.
D. Układu moczowego z użyciem środka kontrastującego.
Świadczenie usług medycznych …

Podczas wykonywania zdjęcia rentgenowskiego lewobocznego czaszki promień centralny powinien przebiegać

A. od prawej do lewej strony czaszki, prostopadle do płaszczyzny strzałkowej.
B. od lewej do prawej strony czaszki, prostopadle do płaszczyzny strzałkowej.
C. od prawej do lewej strony czaszki, prostopadle do płaszczyzny czołowej.
D. od lewej do prawej strony czaszki, prostopadle do płaszczyzny czołowej.
Świadczenie usług medycznych …

Którą strukturę anatomiczną oznaczono strzałką na radiogramie stawu kolanowego?

Ilustracja do pytania 18
A. Guzek międzykłykciowy boczny.
B. Kłykieć przyśrodkowy.
C. Guzek międzykłykciowy przyśrodkowy.
D. Kłykieć boczny.
Świadczenie usług medycznych …

W jakiej projekcji i pod jakim kątem padania promienia centralnego został wykonany radiogram obojczyka?

Ilustracja do pytania 22
A. W projekcji AP i prostopadłym kącie padania promienia centralnego.
B. W projekcji PA i prostopadłym kącie padania promienia centralnego.
C. W projekcji AP i skośnym doogonowo kącie padania promienia centralnego.
D. W projekcji AP i skośnym dołgłowowo kącie padania promienia centralnego.
Świadczenie usług medycznych …

Miejscem wykonania pomiaru densytometrycznego z kości przedramienia jest

A. środek trzonu kości promieniowej strony niedominującej.
B. koniec dalszy kości promieniowej strony dominującej.
C. koniec dalszy kości promieniowej strony niedominującej.
D. środek trzonu kości promieniowej strony dominującej.
MED.08 Pytanie 31
Świadczenie usług medycznych …

Na jakim etapie procesu karcynogenezy dochodzi do inwazji miejscowej nowotworu i tworzenia przerzutów odległych?

A. Promocji.
B. Inicjacji.
C. Progresji.
D. Konwersji.
Świadczenie usług medycznych …

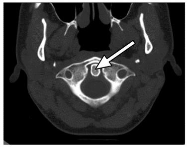
Na zamieszczonym przekroju poprzecznym TK kręgosłupa szyjnego strzałką wskazano

Ilustracja do pytania 32
A. rdzeń kręgowy.
B. otwór kręgu szczytowego.
C. guzek tylny kręgu szczytowego.
D. ząb kręgu obrotowego.
Świadczenie usług medycznych …

Którą metodą i w której płaszczyźnie zostało wykonane badanie stawu kolanowego zobrazowane na zdjęciach?

Ilustracja do pytania 33
A. MR, w płaszczyźnie strzałkowej.
B. TK, w płaszczyźnie strzałkowej.
C. TK, w płaszczyźnie czołowej.
D. MR, w płaszczyźnie czołowej.
Świadczenie usług medycznych …

Na obrazie rezonansu magnetycznego strzałką oznaczono wyrostek kolczysty kręgu

Ilustracja do pytania 36
A. szyjnego w płaszczyźnie strzałkowej.
B. szyjnego w płaszczyźnie czołowej.
C. piersiowego w płaszczyźnie czołowej.
D. piersiowego w płaszczyźnie strzałkowej.
Świadczenie usług medycznych …

Zdjęcie zatok przynosowych wykonuje się w pozycji

A. siedzącej przy otwartych ustach.
B. leżącej przy otwartych ustach.
C. siedzącej przy zamkniętych ustach.
D. leżącej przy zamkniętych ustach.
Świadczenie usług medycznych …

W jaki sposób należy ustawić promień centralny w stosunku do ramienia i przedramienia, by wykonać zdjęcie rentgenograficzne stawu łokciowego u pacjenta z przykurczem?

A. Prostopadle do kości promieniowej.
B. W dwusiecznej kąta zawartego między ramieniem a przedramieniem.
C. W dwusiecznej kąta zawartego między kasetą a kością ramienną.
D. Prostopadle do kości ramiennej.
Świadczenie usług medycznych …

Którą strukturę anatomiczną oznaczono na zamieszczonym obrazie rezonansu magnetycznego?

Ilustracja do pytania 40
A. Guzek większy kości ramiennej.
B. Guzek mniejszy kości ramiennej.
C. Głowę kości ramiennej.
D. Trzon kości ramiennej.