Filtrowanie pytań

Wybierz zawód, aby zobaczyć dostępne kwalifikacje

Świadczenie usług medycznych …

Zdjęcie zatok przynosowych wykonuje się w pozycji

A. leżącej przy zamkniętych ustach.
B. leżącej przy otwartych ustach.
C. siedzącej przy zamkniętych ustach.
D. siedzącej przy otwartych ustach.
MED.08 Pytanie 90
Świadczenie usług medycznych …

W systemie międzynarodowym czwarty górny ząb mleczny po stronie prawej oznacza się symbolem

A. 24
B. 54
C. 84
D. 14
Świadczenie usług medycznych …

Które zdjęcia należy wykonać pacjentom z chorobą reumatoidalną stawów kolanowych?

A. AP i boczne stawu kolanowego lewego.
B. AP i boczne stawu kolanowego prawego.
C. AP obu stawów kolanowych i osiowe rzepek.
D. AP i boczne obu stawów kolanowych.
Świadczenie usług medycznych …

Na ilustracji przedstawiono ułożenie pacjenta do zdjęcia rentgenowskiego

Ilustracja do pytania 14
A. grzbietowo-dłoniowego kości śródręcza.
B. bocznego kości śródręcza.
C. bocznego kciuka.
D. dłoniowo-grzbietowego kciuka.
Świadczenie usług medycznych …

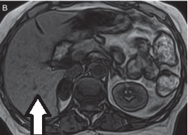
Zgodnie z procedurą wzorcową w badaniu MR należy ułożyć pacjenta na brzuchu do diagnostyki

A. gruczołu piersiowego.
B. jamy brzusznej.
C. stawu barkowego.
D. kręgosłupa szyjnego.
Świadczenie usług medycznych …

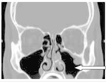
Na obrazie TK zaznaczono zatokę

Ilustracja do pytania 16
A. czołową w przekroju czołowym.
B. czołową w przekroju strzałkowym.
C. szczękową w przekroju strzałkowym.
D. szczękową w przekroju czołowym.
Świadczenie usług medycznych …

Zgodnie z procedurą wzorcową w badaniu MR należy ułożyć pacjenta na brzuchu do diagnostyki

A. stawu barkowego.
B. kręgosłupa szyjnego.
C. gruczołu piersiowego.
D. jamy brzusznej.
Świadczenie usług medycznych …

W jaki sposób należy ustawić promień centralny w stosunku do ramienia i przedramienia, by wykonać zdjęcie rentgenograficzne stawu łokciowego u pacjenta z przykurczem?

A. Prostopadle do kości ramiennej.
B. W dwusiecznej kąta zawartego między ramieniem a przedramieniem.
C. W dwusiecznej kąta zawartego między kasetą a kością ramienną.
D. Prostopadle do kości promieniowej.
Świadczenie usług medycznych …

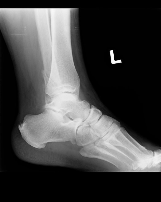
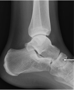
Na rentgenogramie przedstawione jest złamanie Saltera-Harrisa typu

Ilustracja do pytania 19
A. II odcinka bliższego kości piszczelowej.
B. V czwartej kości śródręcza.
C. I ześlizgnięcie bliższej nasady kości udowej lewej.
D. III nasady dalszej kości piszczelowej.
Świadczenie usług medycznych …

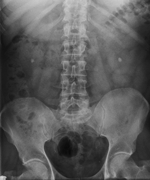
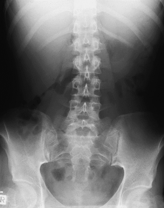
Które badanie zostało zarejestrowane na przedstawionym radiogramie?

Ilustracja do pytania 21
A. Jamy brzusznej wykonane poziomą wiązką promieniowania.
B. Płuc wykonane metodą Przybylskiego.
C. Układu moczowego z użyciem środka kontrastującego.
D. Dróg żółciowych metodą cholangiografii śródoperacyjnej.
Świadczenie usług medycznych …

Rutynowe badanie koronarografii prawej tętnicy wieńcowej wykonywane jest w rzucie skośnym przednim

A. lewym pod kątem 45°.
B. prawym pod kątem 45°.
C. lewym pod kątem 60°.
D. prawym pod kątem 60°.
MED.08 Pytanie 105
Świadczenie usług medycznych …

Kolonoskopia to badanie, które ma na celu ocenę błony śluzowej

A. jelita grubego.
B. dwunastnicy.
C. jelita cienkiego.
D. żołądka.
Świadczenie usług medycznych …

W scyntygrafii serca metoda bramkowanej akwizycji SPECT umożliwia między innymi ocenę frakcji wyrzutowej

A. lewej komory.
B. lewego przedsionka.
C. prawej komory.
D. prawego przedsionka.
MED.08 Pytanie 112
Świadczenie usług medycznych …

W systemie międzynarodowym ząb pierwszy przedtrzonowy po stronie lewej oznacza się symbolem

A. 54
B. 24
C. 84
D. 14
Świadczenie usług medycznych …

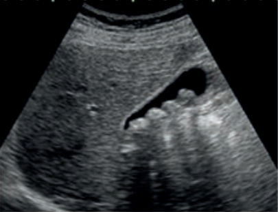
Jakie struktury anatomiczne uwidoczniono na obrazie USG?

Ilustracja do pytania 33
A. Pęcherz moczowy z kamieniami.
B. Ciężarna macica z czterema płodami.
C. Nerka lewa ze złogami.
D. Pęcherzyk żółciowy z kamieniami.
Świadczenie usług medycznych …

W jakiej projekcji i pod jakim kątem padania promienia centralnego został wykonany radiogram obojczyka?

Ilustracja do pytania 38
A. W projekcji PA i prostopadłym kącie padania promienia centralnego.
B. W projekcji AP i skośnym dołgłowowo kącie padania promienia centralnego.
C. W projekcji AP i prostopadłym kącie padania promienia centralnego.
D. W projekcji AP i skośnym doogonowo kącie padania promienia centralnego.
Świadczenie usług medycznych …

Przy ułożeniu do zdjęcia kręgów szyjnych CIII-CVII w projekcji przednio-tylnej lampa może być odchylona o kąt

A. 10-15° doogonowo.
B. 10-15° dogłowowo.
C. 40-45° doogonowo.
D. 40-45° dogłowowo.