Filtrowanie pytań
Świadczenie usług medycznych …
A. zmniejszenie ilości promieniowania rozproszonego przez co zwiększa się kontrast obrazu.
B. zmniejszenie ilości promieniowania rozproszonego przez co zmniejsza się kontrast obrazu.
C. zwiększenie ilości promieniowania rozproszonego przez co zmniejsza się kontrast obrazu.
D. zwiększenie ilości promieniowania rozproszonego przez co zwiększa się kontrast obrazu.
Świadczenie usług medycznych …
W celu maksymalnego ograniczenia dawki promieniowania badanie rentgenowskie u dzieci należy wykonać
A. bez kratki przeciwrozproszeniowej i przy zmniejszonej filtracji.
B. z kratką przeciwrozproszeniową i przy zmniejszonej filtracji.
C. bez kratki przeciwrozproszeniowej i przy zwiększonej filtracji.
D. z kratką przeciwrozproszeniową i przy zwiększonej filtracji.
Świadczenie usług medycznych …
Zwiększenie napięcia na lampie rentgenowskiej powoduje
A. wydłużenie fali i zwiększenie przenikliwości promieniowania X
B. wydłużenie fali i zmniejszenie przenikliwości promieniowania X
C. skrócenie fali i zwiększenie przenikliwości promieniowania X
D. skrócenie fali i zmniejszenie przenikliwości promieniowania X
Świadczenie usług medycznych …
Nieostrość geometryczna obrazu rentgenowskiego zależy od
A. ilości promieniowania rozproszonego.
B. wielkości ogniska optycznego.
C. grubości emulsji błony rentgenowskiej.
D. wielkości ziarna luminoforu folii wzmacniającej.
Świadczenie usług medycznych …
Kolimator wielolistkowy w akceleratorze liniowym jest stosowany do
A. generowania czasu napromieniania.
B. modulacji mocy wiązki.
C. formowania kształtu pola napromienianego.
D. wyznaczania pozycji pola napromienianego.
Świadczenie usług medycznych …
Jaka jest moc dawki pochłoniętej w brachyterapii HDR?
A. Mniej niż 2 Gy/h
B. W zakresie 3-5 Gy/h
C. W zakresie 6-11 Gy/h
D. Więcej niż 12 Gy/h
Świadczenie usług medycznych …
Kto jest odpowiedzialny za wykonywanie testów podstawowych kontroli jakości gammakamery w Zakładzie Medycyny Nuklearnej?
A. Lekarz radiolog z technikiem elektroradiologiem.
B. Technik elektroradiolog z inspektorem ochrony radiologicznej.
C. Lekarz radiolog z inspektorem ochrony radiologicznej.
D. Technik elektroradiolog z inżynierem medycznym.
Świadczenie usług medycznych …
Brachyterapia polega na napromieniowaniu pacjenta promieniowaniem
A. ze źródeł umieszczonych w bezpośrednim sąsiedztwie lub w napromienianych tkankach.
B. ze źródeł umieszczonych tylko na skórze pacjenta.
C. fotonowym pochodzącym z akceleratora.
D. cząsteczkowym pochodzącym z akceleratora.
Świadczenie usług medycznych …
Który radioizotop jest emiterem promieniowania alfa?
A. ¹³¹I
B. ¹⁸F
C. ⁹⁹ᵐTc
D. ²²³Ra
Świadczenie usług medycznych …
Gadolin jako dożylny środek kontrastowy stosowany w MR powoduje
A. wydłużenie czasów relaksacji T₁ i T₂
B. wydłużenie czasu relaksacji T₂ i brak zmian w czasie relaksacji T₁
C. skrócenie czasu relaksacji T₁ i brak zmian w czasie relaksacji T₂
D. skrócenie czasów relaksacji T₁ i T₂
Świadczenie usług medycznych …
Podczas badania gammakamerą źródłem promieniowania jest
A. kolimator.
B. pacjent.
C. detektor.
D. fotopowielacz.
Świadczenie usług medycznych …
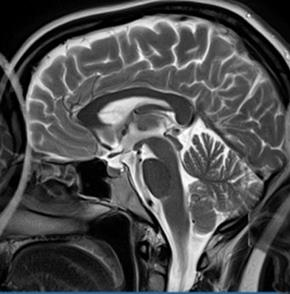
Na którym obrazie MR jest widoczne pasmo saturacji?
A. Obraz 2

B. Obraz 1

C. Obraz 3

D. Obraz 4

Świadczenie usług medycznych …
Które urządzenie zostało przedstawione na fotografii i w jakiej pracowni znajduje zastosowanie?

A. Densytometr rentgenowski w pracowni medycyny nuklearnej.
B. Kamera scyntygraficzna w pracowni medycyny nuklearnej.
C. Gammakamera w pracowni radioterapii.
D. Rentgenograf w pracowni rentgenowskiej.
Świadczenie usług medycznych …
W diagnostyce metodą rezonansu magnetycznego biorą udział
A. elektrony wodoru.
B. protony wodoru.
C. jądra wapnia.
D. elektrony wapnia.
Świadczenie usług medycznych …
Jakie wymagania techniczne muszą spełniać aparaty terapeutyczne stosowane w zakładach brachyterapii, służące bezpośrednio do napromieniania pacjenta metodą zdalnego wprowadzania źródeł promieniotwórczych?
A. Posiadają jeden niezależny system odliczający czas i informujący o zakończeniu napromieniania.
B. Wyłączenie i ponowne włączenie aparatu likwiduje sygnalizowany błąd.
C. Weryfikują ustawione warunki i nie sygnalizują przypadkowych błędów personelu.
D. Wyłączenie i ponowne włączenie aparatu nie likwiduje sygnalizowanego błędu.
Świadczenie usług medycznych …
Emisja fali elektromagnetycznej występuje w procesie rozpadu promieniotwórczego
A. beta minus.
B. alfa.
C. beta plus.
D. gamma.
Świadczenie usług medycznych …
W badaniu PET CT wykorzystuje się radioizotopy emitujące promieniowanie
A. beta minus.
B. beta plus.
C. gamma.
D. alfa.
Świadczenie usług medycznych …
W której technice brachyterapii stosuje się źródła promieniowania o mocy dawki 2-12 Gy/h?
A. PDR
B. HDR
C. MDR
D. LDR
Świadczenie usług medycznych …
Która właściwość promieniowania X pozwala na skierowanie promienia centralnego na wybrany punkt topograficzny podczas wykonywania badania radiologicznego?
A. Przenikliwość różnego stopnia.
B. Różnica w pochłanianiu przez różne substancje.
C. Wywoływanie zjawiska fotoelektrycznego.
D. Prostoliniowe rozchodzenie się.
Świadczenie usług medycznych …
Wysoką rozdzielczość przestrzenną obrazowania MR uzyskuje się przez
A. zmniejszenie wielkości FoV i zmniejszenie matrycy obrazującej.
B. zmniejszenie wielkości FoV i zwiększenie matrycy obrazującej.
C. zwiększenie wielkości FoV i zmniejszenie matrycy obrazującej.
D. zwiększenie wielkości FoV i zwiększenie matrycy obrazującej.
Świadczenie usług medycznych …
W sekwencji echa spinowego obraz T2-zależny uzyskuje się przy czasie repetycji TR
A. powyżej 2000 ms
B. poniżej 400 ms
C. od 500 ms do 700 ms
D. od 800 ms do 900 ms
Świadczenie usług medycznych …
Emisja fali elektromagnetycznej występuje w procesie rozpadu promieniotwórczego
A. gamma.
B. alfa.
C. beta plus.
D. beta minus.
Świadczenie usług medycznych …
Zadaniem technika elektroradiologa w pracowni naczyniowej jest
A. przygotowanie niezbędnych narzędzi.
B. nadzorowanie sprawnego działania aparatury rentgenowskiej.
C. przygotowanie cewników.
D. wprowadzenie cewnika w światło naczyń.
Świadczenie usług medycznych …
W medycznym przyspieszaczu liniowym jest generowana wiązka fotonów o energii w zakresie
A. 100 + 150 MeV
B. 4 + 25 MeV
C. 0,1 + 0,3 MeV
D. 1 + 3 MeV
Świadczenie usług medycznych …
W obrazowaniu MR wykorzystuje się moment magnetyczny
A. elektronów.
B. neutronów.
C. protonów.
D. pozytonów.
Świadczenie usług medycznych …
W lampie rentgenowskiej promieniowanie X powstaje w wyniku hamowania
A. protonów na anodzie.
B. protonów na katodzie.
C. elektronów na katodzie.
D. elektronów na anodzie.
Świadczenie usług medycznych …
Obszary napromieniania w technice IMRT w trakcie wykonywania zabiegu radioterapeutycznego wyznacza
A. system komputerowy.
B. lekarz radioterapeuta.
C. technik elektroradiolog.
D. fizyk medyczny.
Świadczenie usług medycznych …
Skrótem CTV w radioterapii oznacza się
A. obszar leczony.
B. obszar guza.
C. kliniczny obszar napromieniania.
D. zaplanowany obszar napromieniania.
Świadczenie usług medycznych …
Radiofarmaceutyki stosowane w medycynie nuklearnej powstają dzięki połączeniu radioizotopu
A. z helem.
B. z wodorem.
C. z berylem.
D. z ligandem.
Świadczenie usług medycznych …
Testy specjalistyczne aparatów rentgenowskich do zdjęć wewnątrzustnych są przeprowadzane
A. co miesiąc.
B. co 6 miesięcy.
C. co najmniej raz na 24 miesiące.
D. co najmniej raz na 12 miesięcy.
Świadczenie usług medycznych …
Czas repetycji w obrazowaniu metodą rezonansu magnetycznego to
A. czas mierzony od impulsu 90° do szczytu amplitudy sygnału odebranego w cewce.
B. czas między dwoma impulsami częstotliwości radiowej.
C. czas mierzony od impulsu odwracającego 180° do impulsu 90°.
D. czas kąta przeskoku.
Świadczenie usług medycznych …
Wysoką rozdzielczość przestrzenną obrazowania MR uzyskuje się przez
A. zwiększenie wielkości FoV i zmniejszenie matrycy obrazującej.
B. zwiększenie wielkości FoV i zwiększenie matrycy obrazującej.
C. zmniejszenie wielkości FoV i zwiększenie matrycy obrazującej.
D. zmniejszenie wielkości FoV i zmniejszenie matrycy obrazującej.
Świadczenie usług medycznych …
W celu wyeliminowania zakłóceń obrazu MR przez sygnały pochodzące z tkanki tłuszczowej, stosuje się
A. obrazowanie PD – zależne.
B. obrazowanie T1 – zależne.
C. sekwencje STIR.
D. sekwencje FLAIR.
Świadczenie usług medycznych …
Testy podstawowe z zakresu geometrii pola rentgenowskiego, przeznaczone do sprawdzenia zgodności pola wiązki promieniowania rentgenowskiego z symulacją świetlną, są wykonywane raz
A. w miesiącu.
B. w kwartale.
C. w tygodniu.
D. w roku.
Świadczenie usług medycznych …
W badaniu MR czas repetycji TR jest parametrem określającym odstęp czasu między
A. impulsem inwersji 90° a czasem powstania sygnału (echa).
B. dwoma kolejnymi impulsami pobudzającymi RF90°.
C. dwoma kolejnymi impulsami pobudzającymi RF180°.
D. impulsem inwersji 180° a czasem powstania sygnału (echa).
Świadczenie usług medycznych …
Do czego służy do symulator rentgenowski wykorzystywany w procesie radioterapii?
A. Do generowania trójwymiarowych informacji o lokalizacji obszaru guza.
B. Do weryfikacji i odwzorowania geometrii pól poszczególnych wiązek terapeutycznych.
C. Do określania odległości od wirtualnego źródła promieniowania do skóry pacjenta.
D. Do weryfikacji dawki podanej pacjentowi w obszarze PTV.
Świadczenie usług medycznych …
Folia wzmacniająca umieszczona w kasecie rentgenowskiej emituje pod wpływem promieniowania X światło
A. ultrafioletowe, wymagające zwiększenia dawki promieniowania do wykonania badania.
B. widzialne, umożliwiające zmniejszenie dawki promieniowania do wykonania badania.
C. ultrafioletowe, umożliwiające zmniejszenie dawki promieniowania do wykonania badania.
D. widzialne, wymagające zwiększenia dawki promieniowania do wykonania badania.
Świadczenie usług medycznych …
Teleradioterapia 4D na etapie planowania leczenia wykorzystuje obrazy
A. tomografii komputerowej, wykonane w fazie oddechowej.
B. klasycznej rentgenografii, wykonane przy wstrzymanym oddechu.
C. klasycznej rentgenografii, wykonane w fazie oddechowej.
D. tomografii komputerowej, wykonane przy wstrzymanym oddechu.
Świadczenie usług medycznych …
Wskaż przyczynę powstania artefaktu widocznego na obrazie MR.

A. Niejednorodność pola magnetycznego.
B. Błędny dobór cewki gradientowej.
C. Wymiary obiektu przekroczyły pole widzenia.
D. Nieprawidłowa kalibracja aparatu.
Świadczenie usług medycznych …
Hiperfrakcjonowanie dawki w radioterapii oznacza napromieniowywanie pacjenta
A. raz w tygodniu.
B. pięć razy w tygodniu.
C. kilka razy dziennie.
D. codziennie.