Filtrowanie pytań
Świadczenie usług medycznych …
A. kwantów energii na katodzie lampy rentgenowskiej.
B. elektronów na anodzie lampy rentgenowskiej.
C. elektronów na katodzie lampy rentgenowskiej.
D. kwantów energii na anodzie lampy rentgenowskiej.
Świadczenie usług medycznych …
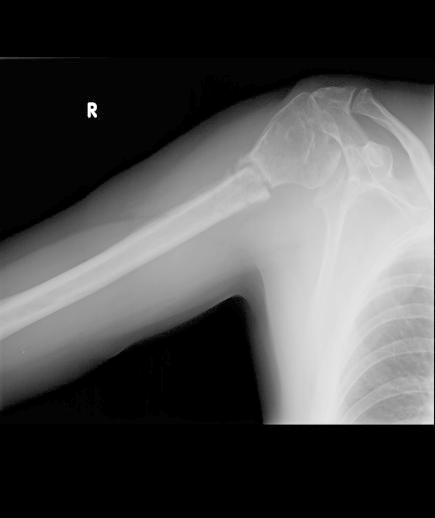
Na radiogramie uwidoczniono złamanie

A. wyrostka barkowego łopatki.
B. wyrostka kruczego.
C. dalszego końca kości ramiennej.
D. bliższego końca kości ramiennej.
Świadczenie usług medycznych …
DSA to cyfrowa
A. angiografia subtrakcyjna.
B. flebografia subtrakcyjna.
C. arteriografia subtrakcyjna.
D. limfografia subtrakcyjna.
Świadczenie usług medycznych …
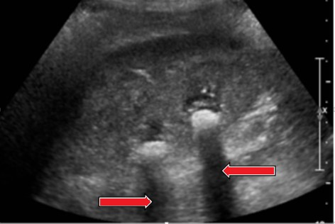
Który artefakt wskazano strzałkami na obrazie USG nerki?

A. Cień akustyczny.
B. Ogon komety.
C. Podwójne odbicie.
D. Wzmocnienie akustyczne.
Świadczenie usług medycznych …
W których projekcjach podstawowych wykonuje się standardowe badanie mammograficzne?
A. Kraniokaudalnej i stycznej.
B. Stycznej i <i>Kleopatry</i>.
C. Skośnej i <i>Kleopatry</i>.
D. Kraniokaudalnej i skośnej.
Świadczenie usług medycznych …
Zgodnie z obowiązującą procedurą radiologiczną zdjęcie jamy brzusznej przy podejrzeniu zapalenia nerek zostanie wykonane w projekcji
A. AP na stojąco.
B. PA na leżąco.
C. AP na leżąco.
D. PA na stojąco.
Świadczenie usług medycznych …
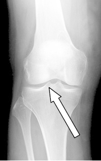
Którą strukturę anatomiczną oznaczono strzałką na radiogramie stawu kolanowego?

A. Guzek międzykłykciowy przyśrodkowy.
B. Kłykieć przyśrodkowy.
C. Kłykieć boczny.
D. Guzek międzykłykciowy boczny.
Świadczenie usług medycznych …
Badanie polegające na wprowadzeniu cewnika przez pęcherz moczowy do moczowodu i miedniczki nerkowej i podaniu środka kontrastującego to
A. pielografia zstępująca.
B. pielografia wstępująca.
C. cystografia.
D. urografia.
Świadczenie usług medycznych …
W badaniu PETCT radioizotop ulega
A. rozpadowi γ, emitując pozyton.
B. rozpadowi β +, emitując pozyton.
C. rozpadowi β -, emitując elektron.
D. rozpadowi γ, emitując foton promieniowania.
Świadczenie usług medycznych …
Rumień skóry pojawiający się podczas radioterapii jest objawem
A. ostrego odczynu miejscowego.
B. późnego odczynu miejscowego.
C. ostrego odczynu ogólnoustrojowego.
D. późnego odczynu ogólnoustrojowego.
Świadczenie usług medycznych …
W pozytonowej tomografii emisyjnej PET zostaje zarejestrowane promieniowanie powstające podczas
A. rozpraszania culombowskiego.
B. anihilacji pary elektron-pozyton.
C. rozpraszania comptonowskiego.
D. anihilacji pary proton-antyproton.
Świadczenie usług medycznych …
Do zadań technika elektroradiologa w pracowni hemodynamicznej należy
A. przygotowanie stolika zabiegowego.
B. ustalanie ilości kontrastu.
C. podanie operatorowi cewnika.
D. dokumentowanie obrazów ICUS.
Świadczenie usług medycznych …
Do badania mammograficznego w projekcji skośnej przyśrodkowo-bocznej kąt lampy powinien być ustawiony w zakresie
A. 40° ÷ 60°
B. 20° ÷ 35°
C. 65° ÷ 70°
D. 10° ÷ 15°
Świadczenie usług medycznych …
Którą strukturę anatomiczną oznaczono na skanie TK głowy?

A. Komorę III.
B. Komorę boczną.
C. Szyszynkę.
D. Wodociąg mózgu.
Świadczenie usług medycznych …
Dobierz dla standardowego pacjenta projekcję, pozycję i sposób ułożenia kasety o wymiarach 30 cm x 40 cm do zdjęcia przeglądowego układu moczowego.
| Projekcja | Pozycja | Ułożenie kasety | |||
|---|---|---|---|---|---|
| 1. | AP | 3. | stojąca | 5. | poprzeczne |
| 2. | PA | 4. | leżąca | 6. | podłużne |
A. 1, 3, 5
B. 1, 4, 6
C. 2, 3, 6
D. 2, 4, 5
Świadczenie usług medycznych …
Którą patologię uwidoczniono na zamieszczonym rentgenogramie?

A. Zwichnięcie kości ramiennej.
B. Złamanie nasady dalszej kości ramiennej.
C. Złamanie obojczyka.
D. Stłuczenie łopatki.
Świadczenie usług medycznych …
W badaniu cystografii wstępującej środek kontrastowy należy podać
A. wstecznie do moczowodu.
B. bezpośrednio do pęcherza moczowego.
C. przez powłoki skórne do miedniczki nerkowej.
D. bezpośrednio do układu kielichowo-miedniczkowego.
Świadczenie usług medycznych …
Który zestaw zdjęć narządów klatki piersiowej należy wykonać u pacjenta z podejrzeniem lewostronnego zapalenia płuc?
A. PA i prawoboczne.
B. AP i prawoboczne.
C. AP i lewoboczne.
D. PA i lewoboczne.
Świadczenie usług medycznych …
W medycznym przyspieszaczu liniowym jest generowana wiązka fotonów o energii w zakresie
A. 0,1 ÷ 0,3 MeV
B. 4 ÷ 25 MeV
C. 100 ÷ 150 MeV
D. 1 ÷ 3 MeV
Świadczenie usług medycznych …
Przy ułożeniu do zdjęcia AP czaszki płaszczyzna
A. oczodołowo-uszna dolna jest równoległa do kasety.
B. czołowa jest prostopadła do kasety.
C. oczodołowo-uszna środkowa jest prostopadła do kasety.
D. strzałkowa jest równoległa do kasety.
Świadczenie usług medycznych …
Więzka promieniowania X to
A. kwanty energii nieuginające się w polu elektromagnetycznym.
B. cząstki ujemnie naładowane uginające się w polu elektromagnetycznym.
C. cząstki dodatnio naładowane uginające się w polu elektromagnetycznym.
D. kwanty energii uginające się w polu elektromagnetycznym.
Świadczenie usług medycznych …
Jaki rozmiar kasety należy zastosować, wykonując standardowe zdjęcie stawu kolanowego w projekcji bocznej?
A. 18×24 cm
B. 35×35 cm
C. 35×43 cm
D. 9×13 cm
Świadczenie usług medycznych …
W zapisie EKG załamek U występuje bezpośrednio po załamku
A. T, u wszystkich pacjentów.
B. P, u wszystkich pacjentów.
C. P, tylko u niektórych pacjentów.
D. T, tylko u niektórych pacjentów.
Świadczenie usług medycznych …
Który parametr ekspozycji ma decydujący wpływ na kontrast obrazu rentgenowskiego?
A. Napięcie na lampie [kV].
B. Odległość źródła promieniowania od detektora [cm].
C. Filtracja [mm Al].
D. Iloczyn natężenia promieniowania i czasu [mAs].
Świadczenie usług medycznych …
W jaki sposób należy ustawić promień centralny w stosunku do ramienia i przedramienia, by wykonać zdjęcie rentgenograficzne stawu łokciowego u pacjenta z przykurczem?
A. Prostopadle do kości promieniowej.
B. W dwusiecznej kąta zawartego między ramieniem a przedramieniem.
C. W dwusiecznej kąta zawartego między kasetą a kością ramienną.
D. Prostopadle do kości ramiennej.
Świadczenie usług medycznych …
Podczas wykonywania badania EEG elektrodę P4 umieszcza się w okolicy
A. ciemieniowej po stronie prawej.
B. ciemieniowej po stronie lewej.
C. czołowej po stronie prawej.
D. czołowej po stronie lewej.
Świadczenie usług medycznych …
Parametrem krwi, który powinien zostać oznaczony u pacjenta przed wykonaniem badania MR z kontrastem jest
A. kreatynina.
B. bilirubina
C. hemoglobina.
D. fibrynogen.
Świadczenie usług medycznych …
Jak określa się rekonstrukcję obrazów TK, której wynikiem są obrazy dwuwymiarowe tworzone w dowolnej płaszczyźnie przez wtórną obróbkę zestawionych ze sobą wielu przekrojów poprzecznych?
A. Maksymalnej intensywności MIP.
B. Wielopłaszczyznowa MPR.
C. Odwzorowania objętości VTR.
D. Cieniowanych powierzchni SSD.
Świadczenie usług medycznych …
Podczas wykonywania zdjęcia rentgenowskiego klatki piersiowej w celu ochrony radiologicznej pacjenta należy zastosować
A. fartuch ołowiowy założony z tyłu pacjenta.
B. fartuch ołowiowy założony z przodu pacjenta.
C. półfartuch ołowiowy założony z przodu pacjenta.
D. półfartuch ołowiowy założony z tyłu pacjenta.
Świadczenie usług medycznych …
Czas połowicznego zaniku jest wykorzystywany
A. w medycynie nuklearnej.
B. w tomografii komputerowej.
C. w rentgenografii.
D. w teleradioterapii.
Świadczenie usług medycznych …
W radiologii analogowej lampy rentgenowskiej z tubusem używa się do wykonania zdjęcia
A. wewnątrzustnego zębów.
B. bocznego czaszki.
C. PA zatok.
D. osiowego czaszki.
Świadczenie usług medycznych …
Czym charakteryzuje się późny odczyn popromienny?
A. Występuje w trakcie lub do 6 miesięcy od zakończenia radioterapii, zwykle jest trwały i może powodować zagrożenie dla życia pacjenta.
B. Występuje po 6 miesiącach od zakończenia radioterapii, pojawia się nagle, zwykle jest trwały i może stanowić zagrożenie dla życia pacjenta.
C. Występuje po 6 miesiącach od zakończenia radioterapii, ustępuje samoistnie lub po prostym leczeniu farmakologicznym.
D. Występuje w trakcie lub do 6 miesięcy od zakończenia radioterapii, ustępuje samoistnie lub po prostym leczeniu farmakologicznym.
Świadczenie usług medycznych …
Jak zgodnie ze standardem należy ustawić pacjenta do badania rentgenowskiego w skosie tylnym prawym?
A. Tyłem do kasety, lewa strona przylega do kasety, prawa strona odwiedziona od kasety.
B. Tyłem do kasety, prawa strona przylega do kasety, lewa strona odwiedziona od kasety.
C. Przodem do kasety, lewa strona przylega do kasety, prawa strona odwiedziona od kasety.
D. Przodem do kasety, prawa strona przylega do kasety, lewa strona odwiedziona od kasety.
Świadczenie usług medycznych …
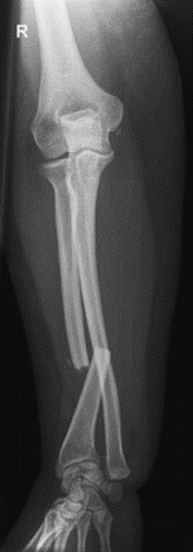
Na radiogramie uwidoczniono złamanie

A. nasady dalszej kości promieniowej.
B. trzonu kości łokciowej.
C. trzonu kości promieniowej.
D. nasady dalszej kości łokciowej.
Świadczenie usług medycznych …
Standardowe badanie urografii polega na podaniu pacjentowi środka kontrastującego
A. dożylnie i wykonaniu serii zdjęć jamy brzusznej w projekcji AP.
B. doustnie i wykonaniu serii zdjęć jamy brzusznej w projekcji PA.
C. dożylnie i wykonaniu jednego zdjęcia jamy brzusznej w projekcji AP.
D. doustnie i wykonaniu jednego zdjęcia jamy brzusznej w projekcji PA.
Świadczenie usług medycznych …
Który radiofarmaceutyk należy podać pacjentowi w scyntygrafii perfuzyjnej mózgu?
A. Tc-99m MDP
B. I-123 NaI
C. Tc-99m HM-PAO
D. <b>I-131 NaI</b>
Świadczenie usług medycznych …
Którą metodą i w której płaszczyźnie zostało wykonane badanie stawu kolanowego zobrazowane na zdjęciach?

A. MR, w płaszczyźnie czołowej.
B. TK, w płaszczyźnie czołowej.
C. TK, w płaszczyźnie strzałkowej.
D. MR, w płaszczyźnie strzałkowej.
Świadczenie usług medycznych …
Zdjęcie rentgenowskie nadgarstka w przywiedzeniu dołokciowym jest wykonywane w celu uwidocznienia kości
A. księżycowatej.
B. grochowatej.
C. łódeczkowatej.
D. haczykowatej.
Świadczenie usług medycznych …
Na zarejestrowanych obrazach badania renoscyntygraficznego widać, że prawa nerka pacjenta

A. wykazuje opóźnione gromadzenie radioznacznika.
B. wykazuje opóźnione wydalanie radioznacznika.
C. nie gromadzi radioznacznika.
D. gromadzi prawidłowo radioznacznik.
Świadczenie usług medycznych …
Do zdjęcia lewobocznego kręgosłupa lędźwiowo-krzyżowego pacjenta należy ułożyć na boku
A. prawym, promień centralny pada 4 palce poniżej górnego zarysu talerza biodrowego.
B. lewym, promień centralny pada 4 palce powyżej górnego zarysu talerza biodrowego.
C. lewym, promień centralny pada 4 palce poniżej górnego zarysu talerza biodrowego.
D. prawym, promień centralny pada 4 palce powyżej górnego zarysu talerza biodrowego.