Filtrowanie pytań
Świadczenie usług medycznych …
A. P
B. T
C. R
D. Q
Świadczenie usług medycznych …
Kryterium rozpoznawczym dla fali δ (delta) w badaniu EKG jest
A. zażębienie na ramieniu zstępującym załamka R.
B. uniesienie odcinka ST.
C. zażębienie na ramieniu wstępującym załamka R.
D. obniżenie odcinka ST.
Świadczenie usług medycznych …
Celiakografia jest badaniem kontrastowym
A. układu żylnego.
B. pnia płucnego.
C. pnia trzewnego.
D. układu tętniczego.
Świadczenie usług medycznych …
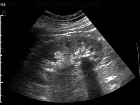
Na obrazie ultrasonograficznym jamy brzusznej uwidoczniono

A. naczyniaka wątroby.
B. kamicę nerkową.
C. pęknięcie wątroby.
D. kamicę żółciową.
Świadczenie usług medycznych …
Które odprowadzenie elektrokardiograficzne przedstawiono na ilustracji?

A. Odprowadzenie II
B. Odprowadzenie aVL
C. Odprowadzenie I
D. Odprowadzenie aVR
Świadczenie usług medycznych …
Pomiaru impedancji akustycznej ucha środkowego dokonuje się podczas badania
A. tympanometrycznego.
B. potencjałów wywołanych.
C. audiometrii tonalnej.
D. otoemisji akustycznych.
Świadczenie usług medycznych …
W ultrasonografii występuje zależność:
A. im wyższa częstotliwość, tym gorsza rozdzielczość.
B. im wyższa rozdzielczość, tym głębsza penetracja wiązki.
C. im wyższa częstotliwość, tym płytsza penetracja wiązki.
D. im wyższa częstotliwość, tym głębsza penetracja wiązki.
Świadczenie usług medycznych …
Które badanie, zgodnie z zakresem kompetencji, może samodzielnie wykonać technik elektroradiolog?
A. Rentgenowskie klatki piersiowej z kontrastem.
B. Rentgenowskie jednokontrastowe żołądka.
C. Pielografię.
D. Bronchoskopię.
Świadczenie usług medycznych …
W pracowni ultrasonograficznej technik elektroradiolog nie korzysta z przepisów dotyczących
A. ochrony radiologicznej.
B. antyseptyki.
C. ochrony przeciwpożarowej.
D. bezpieczeństwa i higieny pracy.
Świadczenie usług medycznych …
Którą strukturę anatomiczną i w jakiej projekcji uwidoczniono na radiogramie?

A. Wyrostek łokciowy w projekcji osiowej.
B. Staw kolanowy w projekcji tunelowej.
C. Wyrostek dziobiasty w projekcji skośnej.
D. Guz piętowy w projekcji osiowej.
Świadczenie usług medycznych …
W leczeniu izotopowym tarczycy należy podać
A. dożylnie emiter promieniowania alfa.
B. doustnie emiter promieniowania beta.
C. dożylnie emiter promieniowania beta.
D. doustnie emiter promieniowania alfa.
Świadczenie usług medycznych …
Pojawienie się w zapisie EKG patologicznego załamka Q lub QS może wskazywać na
A. blok lewej odnogi pęczka Hisa.
B. blok prawej odnogi pęczka Hisa.
C. bliznę po zawale pełnościennym.
D. bliznę po zawale podwsierdziowym.
Świadczenie usług medycznych …
W jakiej pozycji układa się pacjenta do standardowego badania MR kręgosłupa szyjnego?
A. Na brzuchu, nogami do magnesu.
B. Na plecach, głową do magnesu.
C. Na plecach, nogami do magnesu.
D. Na brzuchu, głową do magnesu.
Świadczenie usług medycznych …
SPECT to
A. wielorzędowa tomografia komputerowa.
B. komputerowa tomografia osiowa.
C. tomografia emisyjna pojedynczego fotonu.
D. pozytonowa emisyjna tomografia komputerowa.
Świadczenie usług medycznych …
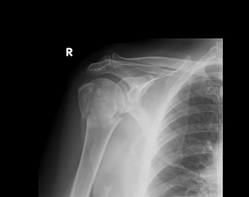
Na radiogramie uwidoczniono złamanie

A. obojczyka.
B. kości ramiennej.
C. wyrostka barkowego.
D. wyrostka kruczego.
Świadczenie usług medycznych …
Na którym z zapisów EKG została uwidoczniona fala Pardee'go?
A. Zapis 2

B. Zapis 1

C. Zapis 4

D. Zapis 3

Świadczenie usług medycznych …
W medycznym przyspieszaczu liniowym jest generowana wiązka fotonów o energii w zakresie
A. 1-3 MeV
B. 0,1-0,3 MeV
C. 100-150 MeV
D. 4-25 MeV
Świadczenie usług medycznych …
Źródłem promieniowania protonowego stosowanego w radioterapii jest
A. przyspieszacz liniowy.
B. cyklotron.
C. cyberknife.
D. bomba kobaltowa.
Świadczenie usług medycznych …
Rak drobnokomórkowy i rak niedrobnokomórkowy to postacie organiczne nowotworów złośliwych
A. piersi.
B. płuc.
C. prostaty.
D. tarczycy.
Świadczenie usług medycznych …
Zestaw rentgenogramów przedstawia

A. proces gojenia się złamania.
B. patologiczny obraz nadgarstków.
C. proces rozwoju kośćca dziecka.
D. obraz osteopenii.
Świadczenie usług medycznych …
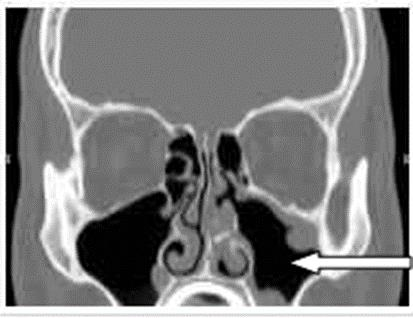
Na zamieszczonym obrazie TK strzałką zaznaczono zatokę

A. szczękową w przekroju czołowym.
B. czołową w przekroju czołowym.
C. szczękową w przekroju strzałkowym.
D. czołową w przekroju strzałkowym.
Świadczenie usług medycznych …
Podczas badania EEG otwarcie oczu powoduje
A. spontaniczną hiperwentylację.
B. zjawisko habituacji.
C. reakcję paradoksalną.
D. zaniknięcie rytmu alfa.
Świadczenie usług medycznych …
Do zdjęcia rentgenowskiego żeber w projekcji skośnej tylnej pacjenta należy ustawić
A. przodem do lampy rentgenowskiej, stroną badaną oddaloną od kasety.
B. przodem do lampy rentgenowskiej, stroną badaną bliżej kasety.
C. tyłem do lampy rentgenowskiej, stroną badaną oddaloną od kasety.
D. tyłem do lampy rentgenowskiej, stroną badaną bliżej kasety.
Świadczenie usług medycznych …
Szczytowy przepływ wydechowy zarejestrowany w trakcie badania maksymalnie natężonego wydechu jest oznaczany skrótem
A. PEF
B. FVC
C. PIF
D. FRC
Świadczenie usług medycznych …
W brachyterapii MDR stosowane są dawki promieniowania
A. od 0,2 do 0,4 Gy/h
B. od 0,01 do 0,1 Gy/h
C. od 2,0 do 12 Gy/h
D. od 0,5 do 1,0 Gy/h
Świadczenie usług medycznych …
Do zdjęcia rentgenowskiego kręgosłupa piersiowego w projekcji AP pacjenta należy ułożyć
A. na plecach, tak by promień centralny padał na środek mostka.
B. na brzuchu, tak by promień centralny padał na wyrostek mieczykowaty mostka.
C. na brzuchu, tak by promień centralny padał na środek mostka.
D. na plecach, tak by promień centralny padał na wyrostek mieczykowaty mostka.
Świadczenie usług medycznych …
W radiografii mianem SID określa się
A. system automatycznej regulacji jasności.
B. system automatycznej kontroli ekspozycji.
C. odległość między źródłem promieniowania a detektorem obrazu.
D. odległość między obiektem badanym a detektorem obrazu.
Świadczenie usług medycznych …
Na obrazie TK nadgarstka uwidocznione jest złamanie kości

A. główkowatej.
B. łódeczkowatej.
C. haczykowatej.
D. księżycowatej.
Świadczenie usług medycznych …
Na przedstawionym scyntygramie ukazano duży obszar

A. wzmożonego wychwytu znacznika w lewym stawie kolanowym.
B. zmniejszonego wychwytu znacznika w prawym stawie kolanowym.
C. wzmożonego wychwytu znacznika w prawym stawie kolanowym.
D. zmniejszonego wychwytu znacznika w lewym stawie kolanowym.
Świadczenie usług medycznych …
Na radiogramie uwidoczniono złamanie

A. I, V kości śródręcza.
B. paliczków palców II, III, IV.
C. II, III, IV kości śródręcza.
D. paliczków palców I, V.
Świadczenie usług medycznych …
Po zakończeniu badania angiograficznego należy zapisać w dokumentacji medycznej pacjenta:
A. ilość kontrastu, czas skopii, dawkę efektywną.
B. ilość kontrastu, ilość znieczulenia, czas skopii.
C. ilość kontrastu, dawkę efektywną, równoważnik dawki.
D. czas skopii, dawkę efektywną, równoważnik dawki.
Świadczenie usług medycznych …
Przy podejrzeniu ciała obcego w oczodole należy wykonać
A. jedno zdjęcie PA i jedno boczne oczodołów.
B. dwa zdjęcia PA i jedno boczne oczodołów.
C. jedno zdjęcie AP i dwa boczne oczodołów.
D. dwa zdjęcia AP i dwa boczne oczodołów.
Świadczenie usług medycznych …
W celu wyeliminowania zakłóceń obrazu MR przez sygnały pochodzące z tkanki tłuszczowej, stosuje się
A. obrazowanie T1 - zależne.
B. obrazowanie PD - zależne.
C. sekwencje STIR.
D. sekwencje FLAIR.
Świadczenie usług medycznych …
Audiometria impedancyjna polega na pomiarze
A. przewodnictwa kostnego.
B. oporu akustycznego i ciśnienia w uchu zewnętrznym.
C. oporu akustycznego i ciśnienia w uchu środkowym.
D. przewodnictwa powietrznego.
Świadczenie usług medycznych …
W jaki sposób należy oprzeć stroik w audiometrycznym badaniu przewodnictwa kostnego?
A. Podstawą na guzowatości potylicznej zewnętrznej.
B. Ramionami na powierzchni wyrostka sutkowatego.
C. Ramionami na guzowatości potylicznej zewnętrznej.
D. Podstawą na powierzchni wyrostka sutkowatego.
Świadczenie usług medycznych …
W trakcie obrazowania metodą rezonansu magnetycznego wykorzystywane jest zjawisko wysyłania sygnału emitowanego przez
A. elektrony atomów tlenu.
B. elektrony atomów wodoru.
C. protony atomów tlenu.
D. protony atomów wodoru.
Świadczenie usług medycznych …
Które zdjęcie RTG stawu łokciowego zostało wykonane w projekcji skośnej w rotacji zewnętrznej?
A. Zdjęcie 2.

B. Zdjęcie 4.

C. Zdjęcie 3.

D. Zdjęcie 1.

Świadczenie usług medycznych …
Na przedstawionym radiogramie TK głowy strzałką zaznaczono

A. zatokę sitową.
B. zatokę klinową.
C. zbiornik wielki.
D. przegrodę nosową.
Świadczenie usług medycznych …
Wyniosłość międzykłykciowa znajduje się na nasadzie
A. dalszej kości ramiennej.
B. bliższej kości piszczelowej.
C. bliższej kości łokciowej.
D. dalszej kości udowej.
Świadczenie usług medycznych …
Która metoda diagnostyczna służy do określenia gęstości minerału kostnego w ujęciu objętościowym g/cm³?
A. Ilościowa tomografia komputerowa.
B. Ilościowa metoda ultradźwiękowa.
C. Absorpcjometria pojedynczej energii promieniowania rentgenowskiego.
D. Absorpcjometria podwójnej energii promieniowania rentgenowskiego.