Filtrowanie pytań

Wybierz zawód, aby zobaczyć dostępne kwalifikacje

MED.08 Pytanie 483
Świadczenie usług medycznych …

Który załamek w zapisie EKG odpowiada zjawisku depolaryzacji przedsionków mięśnia sercowego?

A. P
B. T
C. R
D. Q
Świadczenie usług medycznych …

W jaki sposób należy ustawić promień centralny w stosunku do ramienia i przedramienia, by wykonać zdjęcie rentgenograficzne stawu łokciowego u pacjenta z przykurczem?

A. Prostopadle do kości promieniowej.
B. W dwusiecznej kąta zawartego między ramieniem a przedramieniem.
C. W dwusiecznej kąta zawartego między kasetą a kością ramienną.
D. Prostopadle do kości ramiennej.
MED.08 Pytanie 486
Świadczenie usług medycznych …

Zgodnie z obowiązującą procedurą radiologiczną zdjęcie jamy brzusznej przy podejrzeniu zapalenia nerek zostanie wykonane w projekcji

A. PA na stojąco.
B. AP na stojąco.
C. PA na leżąco.
D. AP na leżąco.
MED.08 Pytanie 487
Świadczenie usług medycznych …

Który marker oznaczany jest w badaniach diagnostycznych raka gruczołu krokowego?

A. AFP
B. βHCG
C. PSA
D. CEA
MED.08 Pytanie 489
Świadczenie usług medycznych …

W zapisie EKG prawidłowego rytmu zatokowego wszystkie załamki P są

A. ujemne w odprowadzeniach I, aVR i dodatnie w odprowadzeniach II, III.
B. dodatnie w odprowadzeniach I, aVR i ujemne w odprowadzeniach II, III.
C. dodatnie w odprowadzeniach I, II i ujemne w odprowadzeniu aVR.
D. ujemne w odprowadzeniach I, II i dodatnie w odprowadzeniu aVR.
MED.08 Pytanie 490
Świadczenie usług medycznych …

Technika stereotaktyczna polega na napromienianiu nowotworu

A. jednym dużym polem.
B. wieloma wiązkami z jednej strony.
C. wieloma wiązkami zbiegającymi się w jednym punkcie.
D. wieloma wiązkami wychodzącymi z jednego punktu.
MED.08 Pytanie 493
Świadczenie usług medycznych …

Na jakim etapie procesu karcynogenezy dochodzi do inwazji miejscowej nowotworu i tworzenia przerzutów odległych?

A. Promocji.
B. Konwersji.
C. Inicjacji.
D. Progresji.
Świadczenie usług medycznych …

Którą strukturę anatomiczną oznaczono na obrazie rezonansu magnetycznego?

Ilustracja do pytania 15
A. Trzon kości ramiennej.
B. Guzek większy kości ramiennej.
C. Głowę kości ramiennej.
D. Guzek mniejszy kości ramiennej.
MED.08 Pytanie 498
Świadczenie usług medycznych …

Które ciało obce w obszarze badania nie stanowi przeciwwskazania do wykonania MR?

A. Tytanowa endoproteza stawu biodrowego.
B. Wszczepiony stymulator układu nerwowego.
C. Wszczepiony rozrusznik serca.
D. Metalowy opiłek w oku.
MED.08 Pytanie 503
Świadczenie usług medycznych …

W badaniu audiometrycznym rezerwa ślimakowa to odległość między krzywą

A. kostną względną a bezwzględną.
B. kostną a powietrzną.
C. szumu a powietrzną.
D. kostną a krzywą szumu.
Świadczenie usług medycznych …

Ligand stosuje się

A. w radiologii klasycznej jako środek kontrastujący pozytywny.
B. w radiologii klasycznej jako środek kontrastujący negatywny.
C. w rezonansie magnetycznym jako środek kontrastujący pozytywny.
D. w medycynie nuklearnej jako nośnik radiofarmaceutyku.
MED.08 Pytanie 505
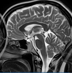
Świadczenie usług medycznych …

Wskaż przyczynę powstania artefaktu widocznego na obrazie MR.

Ilustracja do pytania 25
A. Wymiary obiektu przekroczyły pole widzenia.
B. Niejednorodność pola magnetycznego.
C. Nieprawidłowa kalibracja aparatu.
D. Błędny dobór cewki gradientowej.
MED.08 Pytanie 508
Świadczenie usług medycznych …

Zgodnie ze standardami do wykonania zdjęcia bocznego czaszki, należy zastosować kasetę o wymiarze

A. 18 × 24 cm i ułożyć podłużnie.
B. 24 × 30 cm i ułożyć poprzecznie.
C. 18 × 24 cm i ułożyć poprzecznie.
D. 24 × 30 cm i ułożyć podłużnie.
Świadczenie usług medycznych …

W której technice obrazowania zostają zarejestrowane jednocześnie dwa przeciwbieżne kwanty promieniowania gamma o równej energii 511 keV?

A. Scyntygrafii dynamicznej.
B. Tomografii komputerowej.
C. Pozytonowej tomografii emisyjnej.
D. Tomografii emisyjnej pojedynczego fotonu.
Świadczenie usług medycznych …

Które badanie zostało zarejestrowane na przedstawionym radiogramie?

Ilustracja do pytania 31
A. Dróg żółciowych metodą cholangiografii śródoperacyjnej.
B. Płuc wykonane metodą Przybylskiego.
C. Jamy brzusznej wykonane poziomą wiązką promieniowania.
D. Układu moczowego z użyciem środka kontrastującego.
MED.08 Pytanie 514
Świadczenie usług medycznych …

Diagnozowanie metodą PET oparte jest na zjawisku

A. fotoelektrycznym.
B. anihilacji pozytonu i elektronu.
C. Comptona.
D. rozproszenia klasycznego.
MED.08 Pytanie 515
Świadczenie usług medycznych …

Jak przebiega promień centralny w projekcji AP czaszki?

A. Od przodu ku tyłowi, prostopadle do płaszczyzny strzałkowej.
B. Od tyłu ku przodowi, prostopadle do płaszczyzny strzałkowej.
C. Od tyłu ku przodowi, prostopadle do płaszczyzny czołowej.
D. Od przodu ku tyłowi, prostopadle do płaszczyzny czołowej.
MED.08 Pytanie 518
Świadczenie usług medycznych …

Dobierz dla standardowego pacjenta projekcję, pozycję i sposób ułożenia kasety o wymiarach 30 cm x 40 cm do zdjęcia przeglądowego układu moczowego.

ProjekcjaPozycjaUłożenie kasety
1.AP3.stojąca5.poprzeczne
2.PA4.leżąca6.podłużne

A. 1, 3, 5
B. 2, 4, 5
C. 2, 3, 6
D. 1, 4, 6
MED.08 Pytanie 519
Świadczenie usług medycznych …

W pozytonowej emisyjnej tomografii komputerowej PET radioznacznik podawany jest pacjentowi najczęściej

A. dożylnie.
B. doodbytniczo.
C. domięśniowo.
D. doustnie.
MED.08 Pytanie 520
Świadczenie usług medycznych …

W lampie rentgenowskiej promieniowanie X powstaje w wyniku hamowania

A. elektronów na katodzie.
B. protonów na katodzie.
C. elektronów na anodzie.
D. protonów na anodzie.