Filtrowanie pytań
Świadczenie usług medycznych …
A. ¹²³I
B. ²⁰¹Tl
C. ⁹⁹ᵐTc
D. ⁶⁷Ga
Świadczenie usług medycznych …
Wiązka elektronów najczęściej stosowana jest do leczenia zmian nowotworowych w obrębie
A. prostaty.
B. macicy.
C. płuc.
D. skóry i płytko pod skórą.
Świadczenie usług medycznych …
SPECT to
A. wielorzędowa tomografia komputerowa.
B. komputerowa tomografia osiowa.
C. tomografia emisyjna pojedynczego fotonu.
D. pozytonowa emisyjna tomografia komputerowa.
Świadczenie usług medycznych …
„Ognisko zimne” w obrazie scyntygraficznym określa się jako
A. obszar gromadzący znacznik jak reszta miąższu.
B. zmianę o większej aktywności hormonalnej.
C. zmianę najczęściej o charakterze łagodnym.
D. obszar niegromadzący radioznacznika.
Świadczenie usług medycznych …
Które czynności wykonuje technik elektroradiolog w pracowni „gorącej”?
A. Układa pacjenta do badania.
B. Przeprowadza badanie gammakamerą.
C. Przygotowuje radiofarmaceutyk.
D. Sporządza dokumentację medyczną.
Świadczenie usług medycznych …
W brachyterapii MDR stosowane są dawki promieniowania
A. od 2,0 do 12 Gy/h
B. od 0,2 do 0,4 Gy/h
C. od 0,5 do 1,0 Gy/h
D. od 0,01 do 0,1 Gy/h
Świadczenie usług medycznych …
Na ilustracji przedstawiono przygotowanie pacjenta do badania

A. EMG
B. ERG
C. KTG
D. EEG
Świadczenie usług medycznych …
Podczas badania gammakamerą źródłem promieniowania jest
A. detektor.
B. kolimator.
C. pacjent.
D. fotopowielacz.
Świadczenie usług medycznych …
Którą metodą i w której płaszczyźnie zostało wykonane badanie stawu kolanowego zobrazowane na zdjęciach?

A. TK, w płaszczyźnie strzałkowej.
B. TK, w płaszczyźnie czołowej.
C. MR, w płaszczyźnie strzałkowej.
D. MR, w płaszczyźnie czołowej.
Świadczenie usług medycznych …
Na schemacie oznaczono

A. zespół QS
B. zespół QRS
C. odstęp PP
D. odstęp RR
Świadczenie usług medycznych …
Przy ułożeniu do zdjęcia AP czaszki płaszczyzna
A. oczodołowo-uszna dolna jest równoległa do kasety.
B. czołowa jest prostopadła do kasety.
C. oczodołowo-uszna środkowa jest prostopadła do kasety.
D. strzałkowa jest równoległa do kasety.
Świadczenie usług medycznych …
Na rycinie rentgenogramu w projekcji AP symbolem X oznaczono

A. dołek głowy kości udowej.
B. głowę kości udowej.
C. brzeg panewki.
D. szyjkę kości udowej.
Świadczenie usług medycznych …
Koronarografia jest radiologicznym zabiegiem diagnostycznym pozwalającym ocenić drożność
A. żył obwodowych.
B. tętnic wieńcowych.
C. żył wieńcowych.
D. tętnic obwodowych.
Świadczenie usług medycznych …
Wynik badania słuchu metodą audiometrii tonalnej wskazuje na

A. starzenie się narządu słuchu.
B. słuch w granicach normy.
C. niedosłuch uwarunkowany genetycznie.
D. uraz akustyczny.
Świadczenie usług medycznych …
Glukoza podawana pacjentowi w badaniu PET jest znakowana radioaktywnym
A. fosforem.
B. fluorem.
C. technetem.
D. torem.
Świadczenie usług medycznych …
W obrazowaniu metodą rezonansu magnetycznego T1 oznacza czas
A. relaksacji podłużnej.
B. relaksacji poprzecznej.
C. inwersji.
D. echa.
Świadczenie usług medycznych …
Które ciało obce w obszarze badania nie stanowi przeciwwskazania do wykonania MR?
A. Wszczepiony stymulator układu nerwowego.
B. Tytanowa endoproteza stawu biodrowego.
C. Metalowy opiłek w oku.
D. Wszczepiony rozrusznik serca.
Świadczenie usług medycznych …
Które informacje należy zamieścić na strzykawce z radiofarmaceutykiem przygotowanym przez technika elektroradiologa?
A. Typ radiofarmaceutyku, stężenie, godzina przygotowania.
B. Czas okresu inkubacji, radioaktywność, inicjały technika.
C. Typ radiofarmaceutyku, radioaktywność, godzina przygotowania.
D. Czas okresu inkubacji, stężenie, inicjały technika.
Świadczenie usług medycznych …
Który obszar napromieniania w radioterapii oznacza się skrótem PTV?
A. Kliniczny obszar napromieniania.
B. Obszar guza.
C. Obszar leczony.
D. Zaplanowany obszar napromieniania.
Świadczenie usług medycznych …
Na obrazie TK nadgarstka uwidocznione jest złamanie kości

A. łódeczkowatej.
B. główkowatej.
C. haczykowatej.
D. księżycowatej.
Świadczenie usług medycznych …
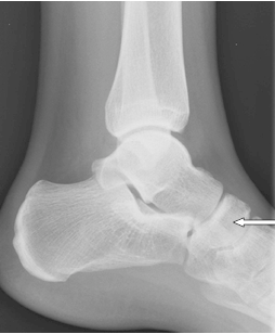
Na radiogramie strzałką oznaczono

A. staw skokowo-piętowy.
B. kość sześcienną.
C. głowę kości skokowej.
D. kość łódkowatą.
Świadczenie usług medycznych …
Na radiogramie uwidoczniono złamanie

A. II, III, IV kości śródręcza.
B. I, V kości śródręcza.
C. paliczków palców II, III, IV.
D. paliczków palców I, V.
Świadczenie usług medycznych …
Na radiogramie TK głowy strzałką wskazano

A. przegrodę nosową.
B. zbiornik wielki.
C. zatokę sitową.
D. zatokę klinową.
Świadczenie usług medycznych …
Fala głosowa rozchodzi się
A. w gazach i cieczach.
B. w cieczach i próżni.
C. w gazach i próżni.
D. w gazach, cieczach i próżni.
Świadczenie usług medycznych …
Na obrazie RM uwidoczniono odcinek kręgosłupa

A. L w przekroju strzałkowym.
B. Th w przekroju strzałkowym.
C. L w przekroju czołowym.
D. Th w przekroju czołowym.
Świadczenie usług medycznych …
W zapisie EKG załamki P dodatnie w odprowadzeniu I i II, a ujemne w aVR oraz częstotliwość rytmu mniejsza niż 60/min wskazują na
A. zahamowanie zatokowe.
B. przyspieszony rytm zatokowy.
C. niemiarowość zatokową.
D. zwolniony rytm zatokowy.
Świadczenie usług medycznych …
Kolonoskopia to badanie, które ma na celu ocenę błony śluzowej
A. jelita cienkiego.
B. dwunastnicy.
C. jelita grubego.
D. żołądka.
Świadczenie usług medycznych …
Pomiaru impedancji akustycznej ucha środkowego dokonuje się podczas badania
A. potencjałów wywołanych.
B. tympanometrycznego.
C. audiometrii impedancyjnej.
D. otoemisji akustycznych.
Świadczenie usług medycznych …
Na radiogramie stawu barkowego strzałką wskazano

A. guzek mniejszy kości ramiennej.
B. guzek większy kości ramiennej.
C. wyrostek kruczy łopatki.
D. wyrostek barkowy łopatki.
Świadczenie usług medycznych …
Na ilustracji przedstawiono ułożenie pacjenta do zdjęcia rentgenowskiego

A. dłoniowo-grzbietowego kciuka.
B. bocznego kciuka.
C. bocznego kości śródręcza.
D. grzbietowo-dłoniowego kości śródręcza.
Świadczenie usług medycznych …
Promieniowanie rentgenowskie jest
A. falą ultradźwiękową.
B. strumieniem protonów.
C. strumieniem elektronów.
D. falą elektromagnetyczną.
Świadczenie usług medycznych …
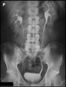
Standardowe badanie urografii polega na podaniu pacjentowi środka kontrastującego
A. dożylnie i wykonaniu serii zdjęć jamy brzusznej w projekcji AP.
B. dożylnie i wykonaniu jednego zdjęcia jamy brzusznej w projekcji AP.
C. doustnie i wykonaniu serii zdjęć jamy brzusznej w projekcji PA.
D. doustnie i wykonaniu jednego zdjęcia jamy brzusznej w projekcji PA.
Świadczenie usług medycznych …
Na radiogramie czaszki strzałką zaznaczono

A. część skalistą kości skroniowej.
B. zatokę szczękową.
C. zachyłek jarzmowy.
D. gałąź żuchwy.
Świadczenie usług medycznych …
Zwiększenie napięcia na lampie rentgenowskiej powoduje
A. wydłużenie fali i zmniejszenie przenikliwości promieniowania X
B. skrócenie fali i zwiększenie przenikliwości promieniowania X
C. wydłużenie fali i zwiększenie przenikliwości promieniowania X
D. skrócenie fali i zmniejszenie przenikliwości promieniowania X
Świadczenie usług medycznych …
Którą kasetę należy wykorzystać do wykonania rentgenogramu klatki piersiowej w projekcji bocznej u 35-letniej pacjentki o wzroście 165 cm i wadze 54 kg?
A. 30 cm × 40 cm
B. 24 cm × 30 cm
C. 35,6 cm × 43,2 cm
D. 35,6 cm × 35,6 cm
Świadczenie usług medycznych …
Na obrazie TK klatki piersiowej w przekroju poprzecznym strzałką oznaczono

A. oskrzele główne prawe.
B. aortę wstępującą.
C. aortę zstępującą.
D. oskrzele główne lewe.
Świadczenie usług medycznych …
Planowany obszar napromieniania PTV obejmuje
A. guz w płucach bez marginesów.
B. guz w mózgu bez marginesów.
C. wyłącznie obszar napromieniania guza.
D. obszar napromieniania guza wraz z marginesami.
Świadczenie usług medycznych …
Którą strukturę anatomiczną zaznaczono na radiogramie stawu kolanowego?

A. Nadkłykieć boczny.
B. Kłykieć przyśrodkowy.
C. Kłykieć boczny.
D. Nadkłykieć przyśrodkowy.
Świadczenie usług medycznych …
Na rentgenogramie stopy uwidocznione jest złamanie

A. I i V kości śródstopia.
B. paliczka bliższego palca I i V.
C. III i IV kości śródstopia.
D. paliczka bliższego palca I i II.
Świadczenie usług medycznych …
Przy ułożeniu do zdjęcia kręgów szyjnych CIII-CVII w projekcji przednio-tylnej lampa może być odchylona o kąt
A. 40-45° dogłowowo.
B. 10-15° dogłowowo.
C. 40-45° doogonowo.
D. 10-15° doogonowo.